Front teeth reconstructions using single implants

Premolar teeth reconstruction using implants

Molar teeth implant restoration

Cases of complex prosthetic treatment with dental implants

Partial and complete dentures anchored by implants

  • Front teeth reconstructions using single implants

    implanty stomatologiczne Radom implanty stomatologiczne Radom implanty stomatologiczne Radom implanty stomatologiczne Radom

    After losing a tooth in the anterior part of the dental arch, special attention should be given to the aesthetic aspect. The main aim of the missing tissue reconstruction (anatomical and functional tissue system: alveolar bone + gum + teeth) is to obtain a result which comes closest to the ideal situation- as if nothing had happened and there had been no tooth or periodontal tissues loss. The key to success is to restore the correct anatomical relationship: bone - gum - tooth.

    implanty stomatologiczne Radom implanty stomatologiczne Radom implanty stomatologiczne Radom implanty stomatologiczne Radom

    The prosthetic crown which was attached to the implant in 2003. There had been a motorbike accident. We can see the key to success: microsurgery and correct anatomical reconstruction of tissues. Even the most expensive implant will not replace this process!

    implanty stomatologiczne Radom implanty stomatologiczne Radom implanty stomatologiczne Radom implanty stomatologiczne Radom

    Reconstruction of missing tissue in stages, along with the reconstruction of the volume and shape of the gums.

    implanty stomatologiczne Radom implanty stomatologiczne Radom implanty stomatologiczne Radom implanty stomatologiczne Radom

    Reconstruction of tissues and teeth with a high lip line. An aesthetically pleasing result.

    implanty stomatologiczne Radom implanty stomatologiczne Radom implanty stomatologiczne Radom implanty stomatologiczne Radom

    Reconstruction of the missing bone, reconstruction of the anatomical relationship of gums, and a ceramic crown placed on the zirconium connector.

  • Premolar teeth reconstruction using implants

    implantologia Radom implantologia Radom implantologia Radom implantologia Radom

    Premolars often belong to the aesthetic area so special attention should be given to the correct anatomy of the bone tissue and gums. After the loss of tooth no. 25, the patient was missing the tooth for a few years and consequently there was a shift of tooth no. 26. This patient had a cantilever bridge placed on tooth no. 4 many years earlier, however, fairly quickly, after the abutment tooth was overloaded, loss of the alveolar bone took place and finally the root of the abutment tooth cracked. After an extraction and bone healing, the alveolar bone loss was found to be more than 50% of the initial state volume. Hence, the main focus was to repair the tissues. A satisfying anatomical result was achieved.

    implantologia Radom implantologia Radom implantologia Radom implantologia Radom

    The case of the molars reconstruction with the initial, significant bone atrophy. The vertical and horizontal bone reconstruction followed by an implant placement and the prosthetic phase.

    implantologia Radom implantologia Radom implantologia Radom implantologia Radom

    In order to get satisfying treatment results we need: diagnosis, a treatment plan and careful carrying out all stages of treatment. Here we can see an example of a patient with neglected proper vertical relations during implantation. Previous treatment required correction.

    implantologia Radom implantologia Radom implantologia Radom implantologia Radom

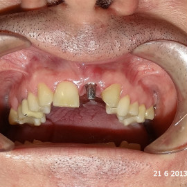
    Patient aged 41, prosthetic reconstruction of teeth 24 and 25 on implants - porcelain crowns on metal. The bridge 13 - 16 has been removed from the right side, the condition of alveolar bone has been improved and a bridge has been placed on implants from four to six. Also a single crown has been cemented on the cuspid.

    implantologia Radom implantologia Radom implantologia Radom implantologia Radom

    Patient aged 50. Dental bridge from tooth 24 to tooth 27. The root of the abutment tooth 24 has fractured. After extraction, a reconstruction of alveolar bone was made and a sinus lift was performed. Then, after adjusting the shape and volume of the gums held in place individual crowns on implants 24, 26, and a bridge 13-17 were made.

  • Molar teeth implant restoration

    The aim here is not only to restore the functions of the stomatognathic system, but also to ensure the sustainability of such a solution. However, because the sustainability largely depends on the restoration of good anatomical and histological relations, it seems that even in posterior parts of the dental arch, functional rehabilitation goes hand in hand with aesthetics.

    implantologia Radom implantologia Radom implantologia Radom implantologia Radom

    Reconstruction of the lower left molar.

    implantologia Radom implantologia Radom implantologia Radom implantologia Radom

    Reconstruction of the lower right molar.

    implantologia Radom implantologia Radom implantologia Radom implantologia Radom

    Molar teeth implant restoration: tooth no. 6 and no. 7.

    implantologia Radom implantologia Radom implantologia Radom implantologia Radom

    Reconstruction of the lower right molar.

    implantologia Radom implantologia Radom implantologia Radom implantologia Radom

    Reconstruction of bones, gums, implantation, prosthetic crowns, two lower right molars.

    implantologia Radom implantologia Radom implantologia Radom implantologia Radom

    Bilateral deficiencies of the mandible.

    implantologia Radom implantologia Radom implantologia Radom implantologia Radom

    Bilateral deficiencies of the mandible.

    implantologia Radom implantologia Radom implantologia Radom implantologia Radom

    Bilateral deficiencies in the maxilla.

  • Cases of complex prosthetic treatment with dental implants

    We often meet cases when it is difficult for a doctor to indicate the tissue system defects and determine the treatment plan. In such cases, we need individual solutions, there are often changes in the treatment plan during surgery.

    implantologia Radom implantologia Radom implantologia Radom implantologia Radom

    A patient aged 50, gave up smoking 6 months before the implant treatment. A significant improvement in hygiene, the patient was highly motivated. After bone regeneration and restoration of soft tissue, reconstruction of six teeth using porcelain crowns. The picture presents the quantity and quality of bone tissue after the reconstruction. In comparison to the initial state, a significant improvement in the bone structure was achieved, which would be impossible with methods of guided bone regeneration that use advertised brands of collagen membranes and “bones from a bottle”.

    implantologia Radom implantologia Radom implantologia Radom implantologia Radom

    Missing five lower teeth in the lip section. Reconstruction of tissue and prosthetic rehabilitation.

    implantologia Radom implantologia Radom implantologia Radom implantologia Radom

    A shortened dental arch ending with a three. Pale, atrophic soft tissue, low density bone and of poor blood supply. Unfavourable conditions for bone reconstruction. The treatment time was 18 months, after bones restoration, a satisfying, final result in the mandible, the next step will be to correct the bite plane.

    implantologia Radom implantologia Radom implantologia Radom implantologia Radom

    Immediate implantation. Teeth with periodontal disease. The teeth extracted according to a currently popular western method: remove the teeth before the bone disappears. The result of such a procedure is less traumatic for the patient and guarantees a shorter time of prosthetic rehabilitation and lower total cost of treatment. Still, at the same time, the solution involves having more implants and less one’s own teeth. In the long follow-up period, this method gives good results.

    implantologia Radom implantologia Radom implantologia Radom implantologia Radom

    A patient with a long history of implant treatment. The first implants were placed in positions no. 24 and 25, in Warsaw 25 years ago. The upper left canine implant has a sharp thread because after the implantation it was relatively quickly loaded to stabilize a temporary, removable denture. The maxilla bone was regenerated and rebuilt in stages throughout the upper right quadrant.

    implanty stomatologiczne implanty stomatologiczne implanty stomatologiczne implanty stomatologiczne

    Reconstruction - the upper-left quadrant: tooth no. 23,24,25. After the surgery of the left maxillary sinus using the Caldwell-Luck method, it was initially seen as not eligible for implant treatment. Later, conditionally qualified for the bone and soft tissue reconstruction.

    implanty stomatologiczne implanty stomatologiczne implanty stomatologiczne implanty stomatologiczne

    Partially edentulous patient (top teeth missing). Initially made ceramic bridges seemed to be successful, however, after a year the gums started swelling and bleeding. The patient returned for treatment. All the teeth in the jaw were extracted. Guided tissue regeneration of alveolar bone, modeling the shape and volume of soft tissues, porcelain bridges attached to the implants. A satisfying, anatomical and aesthetic result was achieved.

    implanty stomatologiczne implanty stomatologiczne implanty stomatologiczne implanty stomatologiczne

    A patient aged 38, teeth with genetically determined periodontal disease, non-smoker, good hygiene. Vertical and horizontal bone regeneration.

    implanty stomatologiczne implanty stomatologiczne implanty stomatologiczne implanty stomatologiczne

    A patient aged 72, for decades with type I diabetes, has been using an insulin pump for the last 10 years. The patient’s niece, a Professor of medicine, monitors her diabetic condition. The patient is aware of the risks during bone regeneration and implantation in her condition. As the first step, the bone and soft tissue reconstruction was made. The third picture presents the spatial relationships and two implants placed in regenerated bone are visible. A correct histological structure of the bone and a satisfying size of the newly formed bone. Two implants with a diameter of 5.0 mm were placed.

    implanty stomatologiczne implanty stomatologiczne implanty stomatologiczne implanty stomatologiczne

    A patient aged 55, for many years has been using a removable prosthesis. Before implantation, alveolar bone augmentation was made. The patient was satisfied with the aesthetic and functional results of the treatment.

    implanty stomatologiczne implanty stomatologiczne implanty stomatologiczne implanty stomatologiczne

    A patient after the extraction of several teeth, an immediate and delayed implantation. The photo was taken five years after the implantation. A stable situation may be observed in the case of the alveolar bone.

  • Partial and complete dentures anchored by implants

    Not every patient can get a permanent prosthetic reconstruction supported on implants. The reasons are usually simple: costs, unfavorable initial bone conditions, need of extensive bone reconstructions, fear of pain, and frequently, common sense. It is known that in the case of broad and technically difficult bone reconstructions, the possibility of complications increases, and thus the risk of treatment failure also becomes higher. That is why we use implants to keep the removable dentures still. This solution allows to reduce costs, limit the size of the procedure, and most importantly, allows you to improve the quality of life and feel satisfied with the use of removable dentures.

    implanty stomatologiczne implanty stomatologiczne implanty stomatologiczne implanty stomatologiczne

    The patient came to our clinic with a microimplant placed in the position of a lower left two that required further treatment. Another implant, placed in the lower right two position, fell out before, about 18 months years after implantation. The vestibule and gums with keratosis were reconstructed, two implants were placed along with the bone regeneration. It was only at the stage of the final prosthetic reconstruction that the microimplant was removed. In the case of this patient we may talk about a true motivation for treatment! The patient was preparing for her great-granddaughter’s wedding :)

    implanty stomatologiczne implanty stomatologiczne implanty stomatologiczne implanty stomatologiczne

    A patient aged 58, leading an active professional life. The woman felt discomfort when using the prosthesis. In addition, the dentures’ braces were visible while smiling.

    implanty stomatologiczne implanty stomatologiczne implanty stomatologiczne implanty stomatologiczne

    A patient aged 68, leading an active lifestyle, travels a lot. The woman did not feel comfortable with the prosthetic braces that were visible while smiling, and the poor stability of the prosthesis, resulting in discomfort during its use.

    implanty stomatologiczne implanty stomatologiczne implanty stomatologiczne implanty stomatologiczne

    The patient is leading an active professional life, recently she has completed orthodontic treatment. Unfortunately, it was not followed by a correct prosthetic treatment. She was using a removable prosthesis with gingival clasps.

    implanty stomatologiczne implanty stomatologiczne implanty stomatologiczne implanty stomatologiczne

    A hybrid support to a removable prosthesis using one implant and a patient’s tooth. We cannot always place two implants in a patient’s mouth. Here, we can see examples of a hybrid support to removable dentures based on a patient’s own tooth and an implant.

    implanty stomatologiczne implanty stomatologiczne implanty stomatologiczne implanty stomatologiczne

    The patient had lost all his teeth in the lower jaw. Ten years have passed since five implants were placed and the Branemark denture was attached to the implants. With such a solution we may remove the prosthesis in the clinic, refresh or fix it.

    implanty stomatologiczne implanty stomatologiczne implanty stomatologiczne implanty stomatologiczne

    A patient aged 68 after myocardial infarction. During resuscitation tooth no. 43 was broken. There was a significant loss of bone tissue. An implant was placed, the missing bone tissue and gums were reconstructed. The patient is satisfied with the implant-borne hybrid dentures.

  • implanty
  • implanty
  • implanty
  • implanty
  • implanty
  • implanty
  • implanty
  • implanty
  • implanty
  • implanty
  • implanty
  • implanty
  • implanty