Zabiegi chirurgiczne stanowią ważne uzupełnienie możliwości terapeutycznych na drodze do osiągnięcia sanacji jamy ustnej. Wiele z tych zabiegów jest wykonywane na zlecenie ortodonty, paradontologa, czy protetyka. Również stomatologia zachowawcza korzysta z chirurgicznych metod leczenia w przypadku braku sukcesów w leczeniu zachowawczym.

Najczęstsze rodzaje zabiegów:

  • atraumatyczne ekstrakcje zębów, operacyjne usuwanie zębów zatrzymanych,
  • zabiegi zachowania kości wyrostka,
  • hemisekcje zęba - zabieg polegający na usunięciu połowy zęba dwu korzeniowego,
  • trisekcje - zabieg polega na usunięciu jednego korzenia i odpowiadajacej mu części korony zęba trzykorzeniowego,
  • radektomie - zabieg polegający na usunięciu jednego korzenia zęba wielokorzeniowego,
  • resekcje wierzchołków korzeni, w tym zębów wielokorzeniowych,
  • zamknięcie połączenia ustno - zatokowego po ekstrakcjach zębów i operacje zatoki szczękowej,
  • zaopatrywanie pacjentów po urazach zębów, kości i tkanek miekkich jamy ustnej i twarzy,
  • chirurgia przyzębia w tym zabiegi resekcyjne i regeneracyjne,
  • zabiegi regeneracyjne GTR i GBR z użyciem biomateriałów Emdogainu, błon kolagenowych...
  • plastyczna chirurgia śluzówkowo – dziąsłowa, pokrywanie recesji dziąsłowych,
  • chirurgia przedprotetyczna - zabiegi polegające na poprawie warunków miejscowych pola protetycznego, poprzez odbudowę tkanek kostnych i tkanek miekkich,
  • chirurgia przedimplantacyjna przy zakładaniu implantów - podniesienie dna zatoki szczękowej metoda otwartą lub zamkniętą,
  • augmentacja pozioma i pionowa kości wyrostka zębodołowego,
  • przeszczepy bloczków kostnych,
  • rozszczepienie kości wyrostka,
  • sterowana regeneracja kości z zastosowaniem membran resorbowalnych i nieresorbowalnych,
  • inne np. plastyka wędzidełek wargi, języka,
  • pogłębienie przedsionka jamy ustnej,
  • wyłuszczenia torbieli,
  • usunięcie kamienia z przewodu wyprowadzającego ślinianki,
  • zaopatrzenie pacjenta po urazie zębów i twarzoczaszki.

Posiadamy wydzieloną część chirurgiczną z salą zabiegową, pooperacyjną, dyżurką pielęgniarek, toaletą, prysznicem. Bezpośrednio po zabiegu pacjent zostaje pod naszą opieką pod kontrolą lekarza.
Wykorzystujemy całą gamę biomateriałów, substytutów kości, liofilizowanej kości zwierzęcej, czy membran resorbowalnych i nieresorbowalnych. Wykorzystujemy implanty Nobel Biocare, Alfa Bio, Miss, Dentium. Na życzenie pacjenta możemy osadzić dowolny implant.

Resekcja Radom Resekcja Radom

Po urwaniu narzędzia w zębie, endodonta odstąpił od leczenia kanałowego. Wykonano resekcję. Na RTG widoczne dobre gojenie tkanek kostnych, niewidoczna blizna na dziąśle.

Resekcja Radom Resekcja Radom Resekcja Radom

Wskazania do wykonania resekcji zębów 21, 22. Prawie niewidoczna blizna pooperacyjna.

Resekcja Radom Resekcja Radom Resekcja Radom Resekcja Radom

Pacjent z rozległa torbielą 21, 22. Po przygotowaniu endodontycznym wykonano zabieg resekcji. Na uwagę zasługuje delikatne wykonanie zabiegu - na błonie śluzowej i dziąsłach nie sa widoczne blizny pozabiegowe, co jest bardzo ważne u pacjenta z wysoka linią uśmiechu.

Chirurgia stomatologia Radom Chirurgia stomatologia Radom Chirurgia stomatologia Radom Chirurgia stomatologia Radom

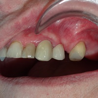
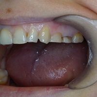
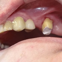
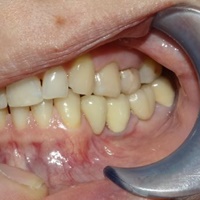
Dziesieć lat po wykonaniu mostu pacjent zgłosił się z recesją dziąsła i próchnicą korzenia. Zamiast ekstrakcji wykonano hemisekcję i nowy most.

Chirurgia stomatologia Radom Chirurgia stomatologia Radom Chirurgia stomatologia Radom Chirurgia stomatologia Radom

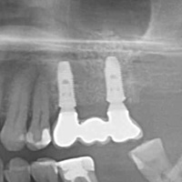
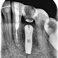
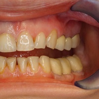
Odbudowa kosci wyrostka zębodołowego żuchwy, odbudowa dziąsła, wydłużenie koron klinicznych górnych przedtrzonowców, implantacja.

Zabiegi chirurgiczne Radom Zabiegi chirurgiczne Radom Zabiegi chirurgiczne Radom Zabiegi chirurgiczne Radom

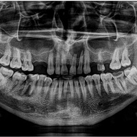
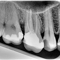
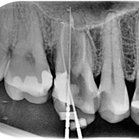
Pacjent z bólem, nieudana próba udrożnienia kanałów pod mikroskopem. Decyzja o resekcji korzenia policzkowego dalszego. RTG kontrolne rok po zabiegu.

Chirurgia stomatologia Radom Chirurgia stomatologia Radom Chirurgia stomatologia Radom Chirurgia stomatologia Radom

Po zabiegu transplantacji zęba rozwinęła się resorbcja i trzeba było usunąć ząb. Zdjęcia po dobudowie kosci, implantacji i leczeniu protetycznym.

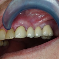
Chirurgia stomatologia Radom Chirurgia stomatologia Radom Chirurgia stomatologia Radom Chirurgia stomatologia Radom

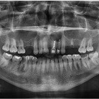
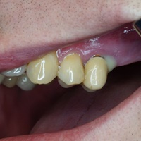
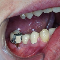
Pod koroną w moście rozwinął się proces zapalny obejmujący fiurkację dalszą zęba 26. Po radektomi wykonano nowy most, na tych samych zębach filar.

Chirurgia stomatologia Radom Chirurgia stomatologia Radom Chirurgia stomatologia Radom

Resekcja jest dzisiaj zabiegiem stojącym w rezerwie. Jak zawiodą skuteczniejsze i nowocześniejsze zabiegi lecznicze można wykonac resekcje ... zamiast ekstrakcji.

Chirurgia stomatologia Radom Chirurgia stomatologia Radom Chirurgia stomatologia Radom Chirurgia stomatologia Radom

Zabiegi regeneracyjne są dość popularne. Tutaj jednoczasowa augmentacja pionowa dowierzchołkowo i dokoronowo, oraz augmantacja pozioma.