Stomatologia mikroskopowa
Mikroskop zabiegowy i lupy zabiegowe umożliwiają znaczne powiększenie pola zabiegowego, nawet kilkadziesiąt razy, co pozwala w pełni wykorzystać zalety nowych technik zabiegowych. Daje to również szanse na pełne wykorzystanie możliwości precyzyjnych narzędzi, materiałów, czy urządzeń wykorzystywanych w procesie leczenia.
Nowoczesne i efektywne leczenie endodontyczne i odpowiednia odbudowa zębów, coraz częściej wykonywane w powiększeniu pozwalają je zachować na długi czas i użytkować tak, jak własne, zdrowe zęby. Jest to rozwiązanie bezpieczne, mniej inwazyjne, i tańsze niż ekstrakcja i zastąpienie usuniętego zęba koroną na implancie lub mostem protetycznym.
Leczenie w powiększeniu jakie zapewniają mikroskop, czy lupy zabiegowe umożliwia precyzyjną pracę w niewielkim polu zabiegowym np. 1mm².


Ząb - lewa dolna czwórka. Bolał po leczeniu kanałowym. Podjęto decyzję o leczeniu pod mikroskopem. Odnaleziono i udrożniono drugi kanał korzeniowy. Dolegliwości ustąpiły.

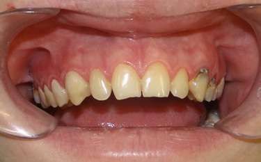
Pacjent z dużymi potrzebami leczenia stomatologicznego. Po stronie prawej widoczne są stare wypełnienia, nad którymi jest zapalenie dziąsła. Po stronie lewej zęby przed leczeniem, również z zapaleniem dziąsła brzeżnego. W naszym gabinecie wymieniono wypełnienia na czterech górnych siekaczach. Uzyskano znaczącą poprawę estetyki siekaczy górnych i stanu dziąseł nad tymi zębami. Pacjent kontynuuje leczenie.
Zalety endodoncji mikroskopowej:
- Odnalezienie głównych i dodatkowych kanałów korzeniowych zęba wraz z ich odgałęzieniami, które w tradycyjnym leczeniu często są niewidoczne dla lekarza, w wyniku czego nie zostają opracowane i mogą być przyczyną niepowodzenia i ewentualnych powikłań.
- Usunięcie z kanału złamanych fragmentów narzędzi endodontycznych, wkładów koronowo - korzeniowych, twardych materiałów stomatologicznych.
- Zamknięcie perforacji korony lub korzenia zęba.
- Udrożnienie wąskich lub zobliterowanych (zamkniętych) kanałów korzeniowych.
- Wykonanie skutecznego leczenia w przypadkach o skomplikowanej anatomii systemu kanałów korzeniowych.
- Leczenie resorpcji wewnętrznej korzeni zębów.
- Mikrochirurgiczne resekcje wierzchołków korzeni zębów ze wstecznym ich wypełnieniem specjalnie do tego przeznaczonym materiałem.
- Postawienie właściwego rozpoznania i podjęcie właściwego leczenia w przypadku, niewidocznych gołym okiem, pęknięć i złamań tkanek zęba.