Stomatologia zachowawcza
Stomatologia zachowawcza zajmuje się odbudową twardych tkanek zęba, utraconych najczęściej w wyniku próchnicy, urazu, lub patologicznego starcia zębów.
Wykorzystujemy całą paletę materiałów wypełnieniowych. Używamy cementów glasjonomerowych, cementów glasjonomerowych kompozytowych, materiałów kompozytowych światłoutwardzalnych z pełną gamą kolorów i przezierności o konsystencji flow lub pasty, z cząsteczkami nano, bondów światłoutwardzalnych do leczenia metodami total eatch i self eatch. Używamy specjalistycznych materiałów pomocniczych, np. kształtki, kliny, nitki retrakcyjne, płyny hemostatyvczne płukanki antybakteryjne, gumki, finirki, tarczki ścierne do polerowania, lakiery.
Do rekonstrukcji zębów używamy sztyftów z włókna szkalnego, ćwieków okołomiazgowych.
W pracy korzystamy z lup zabiegowych i mikroskopu zabiegowego Leica.


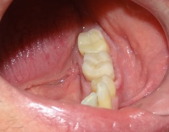
Odbudowa korony zęba trzonowego nakładem kompozytowym. Ząb przeleczono kanałowo i wzmocniono sztyftami z włókna szklanego.


Leczenie próchnicy wtórnej ostatniego górnego trzonowca. Ze względu na trudny dostęp ząb odbudowano laboratoryjnie wykonanym wkładem kompozytowym.

