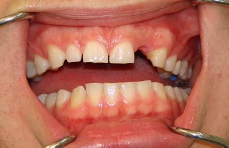
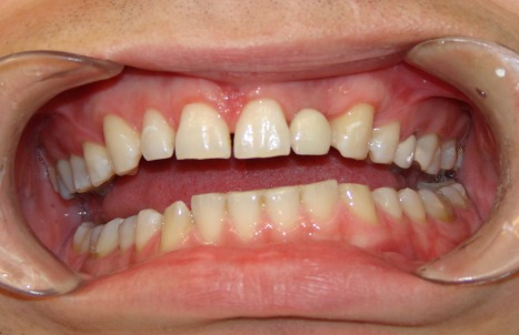
Stomatologia estetyczna
Estetyka to nauka o kryteriach piękna. Ważne są tutaj wszystkie szczegóły, ponieważ... piękno tkwi w szczegółach. Estetyka w stomatologi to nie tylko białe, zdrowe i prawidłowo ukształtowane zęby, ale również wzajemne, poprawne relacje łuków zębowych. Wszystkie czynniki składowe wpływają na całościowy obraz naszego uśmiechu. Nie możemy zapominać o wzajemnych relacjach zębów i dziąseł, czyli czerwonej i białej estetyce.
Ważne są wzajemne proporcje długości i szerokości koron zębów, oraz zachowanie harmonii, w odniesieniu do tkanek miękkich twarzy. Piękne i zdrowe zęby, są podstawa dobrego wypełniania ich funkcji. Dodatkowo są powodem dobrego samopoczucia, przyczyniają się do wyższej samooceny oraz dodają nam pewności siebie w relacjach międzyludzkich. Stomatologia estetyczna obejmuje wszystkie działy stomatologii i zajmuje się poprawą wyglądu zębów i twarzy.
Praktycznie wszystkie działania stomatologów można zaliczyć do tego co określamy stomatologią estetyczną. Wybielanie zębów, kosmetyczne wypełnienia, usuwanie kamienia i osadu nazębnego, protetyka stomatologiczna, paradontologia, chirurgia i ortodoncja.

