Profilaktyka
Profilaktyka to pierwszy krok, który powinien wykonać pacjent, w swojej trosce o zdrowe zęby.
Już w wieku dziecięcym, jak zaczynają się pojawiać zęby mleczne należy wprowadzić dokładną higienę. Prawidłowo stosowana pozwala osiągnąć najdoskonalsze efekty w postaci zdrowego, silnego uzębienia i pięknego, pełnego uśmiechu.
Profilaktyka to prosta metoda, dostępna dla każdego, im wcześniej wprowadzona tym dająca lepsze efekty - zdrowe zęby i dziąsła. Jest jednak poważna trudność. Nie da się dobrej higieny kupić, wykonać na zapas zabiegów higienicznych, czy wreszcie nadrobić zaległości higienicznych z przeszłości.
Głównym zadaniem profilaktyki jest walka z płytą nazębną - podstawową przyczyną rozwoju próchnicy i paradontozy. Z drugiej strony, profilaktyka dąży do zwiększania odporności tkanek zęba i przyzębia na oddziaływanie bakterii i ich toksycznych produktów.
W naszym gabinecie zapewniamy pacjentom pełen zakres profesjonalnie przeprowadzanych zabiegów profilaktycznych z zastosowaniem nowoczesnych a zarazem sprawdzonych metod.
Higiena jamy ustnej
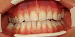
Jeżeli zapytamy pacjentów, czy maja dobrą higienę jamy ustnej to ponad 80% odpowie, że tak.


Przykład dobrej higieny, upłyneły dwa lata od ostatnich zabiegów higienizacyjnych. Na powierzchniach podniebiennych widoczna niewielka ilość osadu.
Jeżeli zapytamy lekarza, jak ocenia swoich pacjentów - odpowie, że tylko około 20% ma zadowalająca higienę. Skąd taka różnica? Wielu pacjentów decyduje się wydać pieniądze na zakup szczotki elektrycznej czy irygatora. Jednak znacznie gorzej jest z utrzymaniem codziennego reżimu higienicznego. Często się zdarza, że moi pacjenci na pytanie o higienę odpowiadają: robię co mogę, zakupiłem już szczotkę elektryczną, kupiłem drogi irygator, naprawdę staram się. Ale może używam złej pasty? Jaką powinienem zakupić panie doktorze?
Wydanie pieniędzy na zakup odpowiednich urządzeń, czy past jest najprostszym rozwiązaniem, nie gwarantuje jednak dobrych wyników. Tylko regularne i umiejętne stosowanie pomocy higienicznych daje korzystne rezultaty. Najważniejszy jest codzienny reżim higieniczny.
Instruktaż higieny zawiera dokładne wskazówki dotyczące zasad pielęgnacji jamy ustnej. Po przeprowadzeniu badania pacjenta, lekarz dobiera odpowiednią technikę szczotkowania zębów w zależności od potrzeb pacjenta, stanu jego uzębienia i przyzębia, jak i jego zdolności manualnych.
Uwzględniając problem oczyszczania gładkich powierzchni zębów, powierzchni międzyzębowych i miejsc trudno dostępnych, u pacjentów leczonych ortodontycznie, lub z uzupełnieniami protetycznymi lekarz zaleca wybór odpowiedniego typu szczoteczki i pasty do zębów oraz przyborów dodatkowych. Prezentacji środków służących do pielęgnacji jamy ustnej często towarzyszy demonstracja sposobu ich stosowania na modelach lub bezpośrednio w jamie ustnej pacjenta.
Profesjonalne oczyszczanie zębów
Profesjonalne oczyszczanie zębów ma na celu usuniecie biofilmu (płytki nazębnej) i innych osadów gromadzących się na powierzchniach zębów, których nie udaje się usunąć domowymi zabiegami higienicznymi. W zależności od rodzaju złogów pokrywających zęby stosowane są różne metody:
- Mechaniczne oczyszczanie zębów z użyciem specjalnych szczoteczek i gumek oraz past.
- Piaskowanie - zabieg usuwania osadu i osadów powstałych od kawy, herbaty, palenia tytoniu. Do tego celu służą aparaty powietrzno-proszkowe tzw. "piaskarki" - wyrzucające cienkim strumieniem mieszankę pyłu i wody pod dużym ciśnieniem, skutecznie likwidujące osady i przebarwienia, których nie można pozbyć się z pomocą szczoteczki do zębów. Jednak nie można powtarzać piaskowania zbyt często. Przy poprawnej higienie wystarczy piaskować zęby raz - dwa razy do roku.
- Skaling jest to zabieg usunięcia twardych złogów nazębnych (kamienia nazębnego) gromadzących się na powierzchniach koron zębów, z użyciem urządzeń ultradźwiękowych zwanych skalerami. Usuwamy kamień naddziąsłowy, oraz ten, którego nie widac kamień zalegający w kieszonkach i szczelinach dziasłowych, kamień podziąsłowy. Często jest to dla pacjentów zaskoczeniem. Jak mówią: "nie widać przecież żadnego kamienia", a jednak kamień podziąsłowy występuje, a skutki jego obecności są dla pacjenta gorsze, niż w przypadku kamienia naddziąsłowego. Skaling jest z reguły zabiegiem bezbolesnym, ale u niektórych pacjentów może pojawić się ból - w takiej sytuacji podawane jest znieczulenie miejscowe. Każdy skaling kończony jest polerowaniem wszystkich czyszczonych powierzchni. Zapobiega to ponownemu odkładaniu się płytki nazębnej i zapewnia pacjentowi przyjemne uczucie gładkości zębów.
Wskazówki żywieniowe
Dieta w znakomity sposób może wpływać na stan uzębienia i przyzębia. Po pierwsze rodzaj diety pacjentki spodziewającej się dziecka oraz prawidłowe odżywianie niemowląt i małych dzieci – z pełnowartościową dietą bogatą w składniki mineralne, takie jak wapń i fosfor oraz witaminy (m.in. A, E, C, B, D) wpływa na prawidłowy rozwój pełnowartościowych zębów i tkanek przyzębia. Z drugiej strony to właśnie z pożywieniem dostarczamy bakteriom bytującym w jamie ustnej pokarm, w tym węglowodany, których niekorzystny wpływ na rozwój próchnicy jest powszechnie znany.
W trosce o zdrowie naszych pacjentów, doceniając rolę diety w profilaktyce chorób zębów i przyzębia, zapewniamy pacjentom zgłaszającym się do naszej kliniki pełen zakres informacji odnośnie nawyków żywieniowych.
Lakowanie bruzd
Lakowanie bruzd zębowych polega na wypełnianiu bruzd i zagłębień w zębach specjalnym materiałem - lakiem szczelinowym.
Bruzdy i szczeliny są predysponowane do zalegania resztek pokarmu, stąd nasilony rozwój patologicznej flory bakteryjnej. Skomplikowane kształty utrudniają lub wręcz uniemożliwiają właściwe ich oczyszczenie za pomocą szczoteczki do zębów, co sprzyja rozwojowi próchnicy.
Lakowanie zębów zarówno mlecznych jak i stałych ma więc na celu zabezpieczenie ich przed procesem próchnicowym. Zabieg lakowania należy przeprowadzać jak najwcześniej od momentu ukazania się zęba w jamie ustnej jednak wtedy, gdy ząb jest na tyle wyrżnięty by można go było odizolować od dostępu śliny.
Lakowaniu poddajemy przede wszystkim zdrowe zęby stałe trzonowe i przedtrzonowe, jak również mleczne trzonowce, możliwe jest także zalakowanie zagłębień w powierzchni podniebiennej stałych siekaczy i kłów. Jest to znakomita metoda zapobiegania próchnicy, prosta, bezbolesna i skuteczna - pozwala na osiągnięcie ok. 90% redukcji próchnicy.
Fluoryzacja indywidualna - lakierowanie zębów
Fluor jest bardzo ważnym czynnikiem w szeroko rozumianej profilaktyce stomatologicznej.
Najpopularniejszą formą profesjonalnej profilaktyki fluorkowej jest lakierowanie oczyszczonych zębów z zastosowaniem lakierów fluorkowych takich jak Fluor Protektor lub polecany szczególnie dla dzieci, Duraphat. Jest ono powszechnie stosowane zarówno w profilaktyce całego uzębienia, jak i wybranych miejsc. Lakiery charakteryzują się znaczną lepkością, co powoduje ich dobre przyleganie do szkliwa zębów oraz dłuższe utrzymywanie się na ich powierzchni, a przez to powolne uwalnianie fluoru. Dzięki powyższym cechom preparaty te zapewniają redukcję próchnicy do 40%.
Zabieg lakierowania w zależności od potrzeb może być powtarzany 2-3 razy do roku w zależności od skłonności pacjenta do próchnicy. Fluor stosowany w postaci lakierów fluorowych: Standartowo poddajemy zęby fluoryzacji kontaktowej po skalingu, piaskowaniu i polerowaniu zebów.
Oddziaływanie fluoru , jest różnorodne:
- wzmacnia szkliwo zęba
- wywołuje proces remineralizacji, kiedy dochodzi do naprawy uszkodzonego szkliwa
- zmniejsza odkładanie się płytki nazębnej
- zapobiega powstawaniu próchnicy wtórnej (na granicy wypełnienia i zęba)
- zmniejsza ryzyko powstawaniu próchnicy w przebiegu leczenia aparatami stałymi
- łagodzi nadwrażliwość szyjek zębowych.