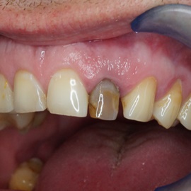
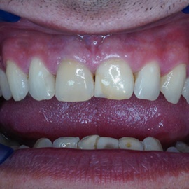
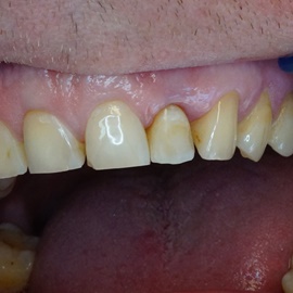
Wybielanie obejmujące pojedyncze zęby jest dość często spotykane. Najczęstszą przyczyną dyskoloracji zęba jest obumarcie miazgi i brak następowego poprawnego leczenia kanałowego, lub leczenie nieprawidłowe. Czasami udaje się przeprowadzić proces wybielania, który jest zadowalający dla pacjenta, a czasami w oparciu o uzyskany wynik można przeprowadzić leczenie protetyczne np. koroną lub licówką całoceramiczną.

Wybielanie zębów Radom Wybielanie zębów Radom Wybielanie zębów Radom Wybielanie zębów Radom

Wybielanie zębów Radom Wybielanie zębów Radom Wybielanie zębów Radom Wybielanie zębów Radom

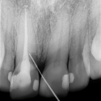
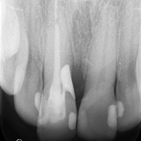
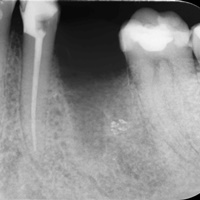
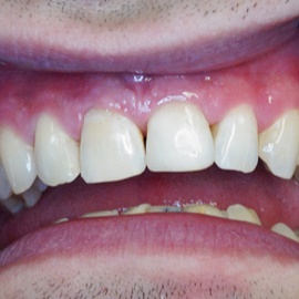
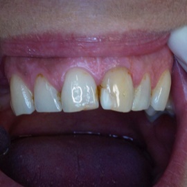
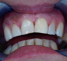
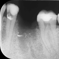
Trzeba jednak uważać, ponieważ nieumiejętnie przeprowadzone wybielanie może być przyczyną resorpcji wewnętrznej i może sie skończyć utratą całego zęba...juz wybielonego. Poniżej zdjęcia przed i po leczeniu mikrochirurgicznym resorpcji.

Wybielanie zębów Radom Wybielanie zębów Radom Wybielanie zębów Radom Wybielanie zębów Radom

Nie wynaleziono dotychczas wybielania skutecznego we wszystkich przypadkach przebarwienia zębów.
Przykładowo plamy po tetracyklinie, czy białe plamy związane z hipoplazją szkliwa są bardzo oporne na wybielanie.
Najlepiej udokumentowane są metody chemicznego wybielania zębów. Jednak nawet te metody nie są skuteczne u wszystkich pacjentów. Przeciętnie co u czwartego pacjenta nie znamy skutecznej metody wybielania.
Naszym pacjentom wykonujemy wybielanie metodą natychmiastową (metoda gabinetową) lub z użyciem szyny nakładkowej (metoda matrycowa) zakładanej na kilka godzin na zęby. Obie metody pozwalają podobnie wybielić zęby o wiele tonów.
Polecana przez nas metoda nakładkowa jest stosunkowo bezpieczna i daje ładne efekty opalescencji (pół-przezierności). Wymaga jednak dobrej współpracy i cierpliwości ze strony pacjenta. U pacjentek w ciąży decyduje o rozpoczęciu wybielania podejmujemy dopiero po porodzie.

  • Czy wybielanie jest szkodliwe dla zębów?

    Wybielanie zębów w ostatnich latach cieszy się wzrastającym powodzeniem, jednak w krajach Europy Zachodniej, zabiegi te są wykonywane od co najmniej pięćdziesięciu lat. Więc znane już są chyba wszelkie zjawiska biologiczne towarzyszące wybielaniu.
    Wybielanie za pomocą środków przez nas używanych, renomowanych firm jak np. Opalescence firmy Ultradent, zawierających nadtlenek karbamidu, lub też nadtlenek wodoru nie jest szkodliwe, nie powoduje zmian chemicznych w strukturze zęba, nie osłabia jego odporności na próchnicę, oraz nie powoduje stanu zapalnego miazgi zębów.
    Daje się to łatwo zrozumieć przy pewnej znajomości chemii: większość składników strukturalnych zęba to substancje mineralne - tlenki, a czynnikiem aktywnym działającym podczas wybielania jest tlen atomowy.

  • Czy mogą wystąpić reakcje niepożądane?

    U osób z zębami wrażliwymi na bodźce może parę godzin po wybieleniu, szczególnie wykonywanym metodą natychmiastową a więc z użyciem skoncentrowanych preparatów wystąpić uczucie nadwrażliwości, które mija po kilku kolejnych godzinach. Jeżeli dolegliwości pojawią się podczas wybielania w domu mnożna wziąć Pyralginę, lub Aspirynę i na drugi dzień skontaktować się z lekarzem.
    Nie zaleca się wybielać zębów u małych dzieci. Dlatego nie wykonujemy tego zabiegu u pacjentów poniżej 13 roku życia. Wybielanie zębów u dzieci jest obarczone większym ryzykiem, ponieważ miazga komorowa - miękka tkanka wewnątrz zęba, gdzie mieszczą się zakończenia gałązek nerwowych jest znacznie większa niż u dorosłych, kanaliki zębinowe są znacznie szersze, a grubość twardych tkanek oddzielających miazgę od preparatu wybielającego jest mniejsza niż u dorosłych.
    Niepożądanym efektem ubocznym może być podrażnienie dziąseł przez preparat wybielający, zwłaszcza wtedy, gdy pacjent zaaplikuje zbyt dużą porcję preparatu do szyny wybielającej. Preparat nie tylko kontaktuje się więc z powierzchnią zęba, ale wypływa na dziąsła i zalega tam przez wiele godzin. Takie przypadki zdarzają się niezwykle rzadko, a jeśli już, to podrażnienia (oparzenia) dziąsła goją się w kilka dni.

  • Czym różni się wybielanie u dentysty od wybielania za pomocą past kupionych w aptekach i drogeriach?

    Pasty zawierają środki ścierające: krzemionki, pyl diamentowy, sodę, które polerują powierzchnię zębów i usuwają z ich powierzchni osady. Jednak nie należy tego typu past stosować zbyt długo, ponieważ grozi to nieodwracalnym uszkodzeniem powierzchni zębów, co najczęściej objawia się ubytkami szyjek zębowych. W szczególności osoby, które mają odsłonięte szyjki zębów, czyli te miejsca które już nie są pokryte szkliwem muszą unikać past ścierających, sprzedawanych jako tzw. pasty wybielające.
    Wybielanie profesjonalne polega na wyzwoleniu prostych kontrolowanych procesów chemicznych w obrębie przebarwień które nie tylko zalegają na powierzchni zęba, ale wniknęły w ich tkanki. Nasze zęby na skutek starzenia się i "złego traktowania" gromadzą w swoje mikropory związki organiczne z kawy, herbaty, wina, soków owocowych itp.
    Działając naszymi preparatami powodujemy rozłożenie przebarwiajacych zęby związków organicznych na dwutlenek węgla i wodę.
    Podsumowując: proces wybielania jest bezpieczny i przewidywalny. A zęby stają się jaśniejsze.

  • Jak wygląda wybielanie nakładowe?

    Według pobieranych w gabinecie wycisków w laboratorium przygotowywane są indywidualne, przezroczyste szyny o grubości około 0,5 mm. Pacjent otrzymuje je na następnej wizycie wraz z zestawem strzykawek preparatu wybielającego o stężeniu 10% lub 15% w zależności od wrażliwości zębów. Przymierzamy mu nakładki i informujemy jak aplikować żel.
    Wybielać najlepiej jest w czasie spoczynku nocnego, można też nosić nakładki kilka godzin w ciągu dnia. Już po 2 aplikacjach różnica jest widoczna.
    Standartowa ilość żelu wystarcza najczęściej na 2 tygodnie. W razie konieczności można do nakładek aplikować preparat przeciw nadwrażliwości pozabiegowej. Po roku pacjent może sobie dokupić 1 strzykawkę preparatu i powtórzyć wybielanie (wystarczają 1-2 aplikacje by utrzymać efekt). Do nakładek można też aplikować preparaty zawierające fluor w celu profilaktyki próchnicy. Wszystko oczywiście po ustaleniu ze swoim dentystą.

  • Jak wygląda wybielanie natychmiastowe?

    Przed zabiegiem pacjent ma dokładnie oczyszczone zęby. Ze względu na silniejsze preparaty używane przy tej metodzie wskazane jest zabezpieczenie dziąseł i tkanek miękkich jamy ustnej przy pomocy światłoutwardzalnego żelu, czy koferdamu.
    Następnie preparatem zawierającym ok. 30% nadtlenku wodoru, pokrywa zęby pacjenta. Zabieg trwa ok. 40 min. Czasem żeby osiągnąć pożądany efekt trzeba go powtórzyć na kolejnej wizycie.

  • Jak postępować po zabiegu?

    Należy unikać pokarmów i napojów o intensywnym zabarwieniu przez co najmniej 2 tygodnie. Miejsca usuniętych przebarwień powinny być wypełnione wzmacniającymi szkliwo substancjami mineralnymi znajdującymi się w ślinie, lub dostarczanymi przez pasty i płukanki do pielęgnacji.

  • Czy zęby wybielają się "na zawsze"?

    Przeciętna trwałość wyników leczenia - wybielania jest trudna do określenia, ale jeżeli pacjent zmieni swoje nawyki żywieniowe to jego zęby mogą wymagać powtórzenia zabiegu po kilku latach. Inaczej zabiegi utrzymujące wynik wybielania trzeba będzie powtarzać co roku. Wtedy wystarczy zrobić już znacznie krótszą i nie tak kosztowną sesję wybielania.

  • Czy istnieją lepsze metody wybielania?

    Słyszy się o wybielaniu za pomocą lasera, lamp diodowych itp. Są to zwykle metody wybielania natychmiastowego przy użyciu preparatów komponowanych tak, aby podczas naświetlania powstał 30% nadtlenek wodoru, który jest substancją aktywną. Dodatkowo czynnikiem wpływającym na proces wybielania jest ciepło Ten sam nadtlenek wodoru powstaje w reakcji rozkładu nadtlenku karbamidu, jak to ma miejsce w stosowanych przez nas preparatach. Lampy te są nazywane niesłusznie laserami, a zabieg nie różni się niczym oprócz ceny i błędnego wrażenia pacjenta, że do wybielania jego zębów są stosowane zaawansowane technologie.

  • Czy martwe zęby też się wybielą?

    Tak, ale jeśli ich przebarwienie wynika z zastosowanych do wnętrza preparatów, to wymagają one innego wewnętrznego rodzaju wybielania.
    Nie wybielą się na pewno mosty porcelanowe, korony i wypełnienia. Dlatego czasem po wybielaniu warto wymienić widoczne z przodu wypełnienia na jaśniejsze. Robi się to nie wcześniej niż 2 tygodnie po zakończeniu wybielania, bo dopiero po takim okresie kolor, tranlusencja (przezierność) zębów się ustalają.

  • Wybielanie nakładkowe - praktyczne wskazania dla pacjentów.

    • Przed umieszczeniem nakładek wybielających w jamie ustnej, zęby należy dokładnie wyszczotkować i oczyścić przy pomocy nici dentystycznej.
    • Niewielką ilość preparatu wybielającego należy umieścić w nakładkach wybielających od strony powierzchni wargowych zębów, które chcemy wybielić (zaleca się umieszczanie w szynie wybielającej preparatu w ilości odpowiadającej kuleczce o średnicy 2 - 3 mm na każdy ząb).
    • Nakładki z preparatem należy umieścić w jamie ustnej we właściwej pozycji, jeżeli na błonie śluzowej pojawi się preparat wybielający, usuwamy go za pomocą suchej szczoteczki do zębów, chusteczki higienicznej bądź palcem.
    • Nakładki z preparatem wybielającym należy pozostawić w jamie ustnej w zależności od stężenia preparatu od 4 do 8 godzin w ciągu dnia bądź nocy.
    • W czasie noszenia nakładki z preparatem wybielającym należy nie pić, nie palić papierosów, nie spożywać żadnych posiłków.
    • Po zakończeniu noszenia nakładki, zęby należy oczyścić z resztek żelu, starannie wypłukać jamę ustną.
    • Nakładkę należy oczyścić strumieniem bieżącej wody, przy pomocy szczoteczki z pastą do zębów usunąć resztki preparatu wybielającego, wysuszyć i przechowywać w suchym pudełeczku.
    • W momencie odczuwania znacznej nadwrażliwości zębów należy przerwać wybielanie i zgłosić się do lekarza (najczęściej nadwrażliwość sama znika po ok. 1 - 3 dniach).
    • Jeżeli szyny wybielające wywierają ucisk na dziąsła należy poprosić swojego stomatologa o korektę.
    • W czasie stosowania preparatu może ujawnić się zwiększona wrażliwość zębów na zimno oraz ciepło. Nie zaleca się w tym okresie spożywania pokarmów, które mogą przebarwiać szkliwo jak czerwone wino, kawa, mocna herbata, barszcz, jagody, napoje gazowane i owocowe oraz soki cytrusowe.
    • Ostateczna biel ustala się w ciągu ok. 2 tygodni po zakończeniu zabiegu.
    • Zabieg można powtórzyć po 6-12 miesiącach.