Endodoncja
Leczenie endodontyczne jest jednym z działów stomatologii, który w ostatnich latach zmienia się najszybciej. Wprowadzenie pracy w powiększeniu umożliwiło dokonanie skokowego postepu w leczeniu endodontycznym, zarówno pierwotnym, kiedy lekarz pierwszy raz trepanuje komorę zęba i przeprowadza leczenie kanałów, jak również w ponownym leczeniu kanałowym, tak zwanym reendo.
Zauważalna jest poprawa w odnajdywaniu zwężonych ujść kanałów korzeniowych, usuwaniu złamanych narzędzi z kanałów korzeniowych, czy usuwaniu ze światła kanałów korzeniowych starych materiałów wypełnieniowych.
Praca w powiększeniu otwiera nowe możliwości, jednak nie znaczy to że każde leczenie kanałowe należy prowadzić w powiększeniu. Większość zębów można w dalszym ciągu leczyć bez powiększenia. Takie postępowanie skraca często czas leczenia i znacząco obniża koszty w porównaniu z leczeniem pod mikroskopem.




Obecnie standardem w endodoncji jest opracowanie kanałów korzeniowych w suchym polu z użyciem Koferdamu, pompy ssącej, endometru elektronicznego, narzędzi ultradźwiękowych wykorzystujących efekt kawitacji, mechanicznych i ultradźwiękowych narzędzi do opracowywania kanałów korzeniowych, stosowanie stężonych płynów dezynfekcyjnych i używanie materiałów syntetycznych do wypełniania kanałów korzeniowych, z wykorzystaniem technik termoplastycznych. Coraz częściej, za standard leczenia kanałowego uważa się leczenie jednoetapowe, w suchym polu z użyciem koferdamu przy użyciu mikroskopu zabiegowego albo lup zabiegowych.
Widoczne są istotne różnice w czasochłonności i poziomie trudności pomiędzy powtórnym leczeniem kanałowym (tzw. Reendo), zwłaszcza u tych pacjentów, gdzie w kanałach korzeniowych znajdziemy połamane i zaklinowane narzędzia, twarde cementy, czy progi zębinowe. Stosunkowo łatwiejsze, szybsze, i tańsze jest pierwotne leczenie kanałowe, kiedy wewnątrz zęba nie spotykamy różnych przeszkód pozostałych po poprzednim leczeniu. Jednak zęby pierwszy raz leczone endodontycznie również mogą mieć różne utrudnienia, np. zwężenia, zwapnienia, perły szkliwne. itp. Od czasu wprowadzenia wyżej opisanych urządzeń i procedur w leczeniu endodontycznym liczba powikłań, po zakończonym leczeniu endo spadła wielokrotnie i obecnie wynosi kilka procent.




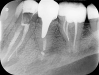
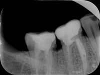
Przed trzema laty ząb 16 (prawa górna szóstka) był przeleczony endodontycznie i wykonano most. W ciągu 18 miesięcy od osadzenia mostu pacjentce kilka razy formował sie ropień dziąsła, osiem razy podawano antybiotyki. Gdy to nie pomagało, wykonano resekcję policzkowego korzenia zęba 16. Nie pomogło. W dalszym ciągu dochodziło do stanów zapalnych i antybiotykoterapii. W tym stanie pacjentka zgłosiła się, do naszego gabinetu. Zdjęto most, przeprowadzono ponowne leczenie kanałowe. Po sześciu miesiącach wykonano nowy most. Upłynęło półtora roku. Nie dochodzi do nawrotów stanu zapalnego, ani obrzęków. Ten przypadek pokazuje, dlaczego tak ważne jest poprawnie wykonane leczenie kanałowe, według nowoczesnego protokołu leczenia.




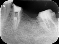
Trzykanałowa górna czwórka, nieczęsty przypadek.


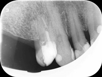
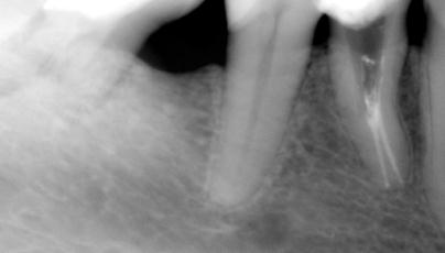
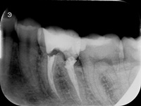
Pacjentka zgłosiła się z bólem. Ząb prawa dolna czwórka po leczeniu kanałowym. Nawracające dolegliwości bólowe, od kilku lat okresowo zaostrzające się. Podjęto decyzję o rewizji leczenia kanałowego. Udróżniono kanał korzeniowy, oraz odnaleziono kanał dodatkowy. Zdjęcie początkowe i zdjęcie po leczeniu endodontycznym pod mikroskopem.


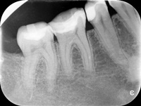
Cześciej niż trzykanałowa dolna piątka, spotykany jest dwukanałowy wariant.


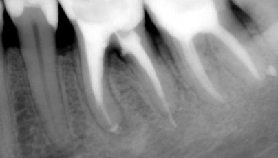
Dość często spotykana dwukanałowa dolna czwórka.


Nieco częściej spotykana dwukanałowa dolna czwórka.


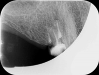
Nieczęsty przypadek trzykanałowej dolnej piątki, przed i po reendo.


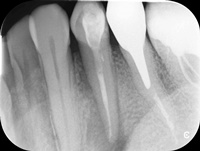
Przed i po reendo.


Reendo 14.


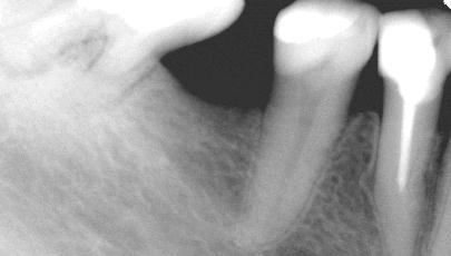
Pacjentka zgłosiła się z bólem. Kilka miesięcy wcześniej leczona kanałowo lewa dolna szóstka. Ząb wrażliwy na nagryzanie. Podjęto decyzję o ponownym przeleczeniu kanałów korzeniowych. Zamknięto perforację przy wejściu do dalszego kanału, usunięto złamaną igłę lentulo z dalszego kanału, udrożniono mezjalne kanały, aż do perforacji korzenia w policzkowym bliższym kanale. Wypełniono dalszy kanał gutaperką, bliższe kanały wypełniono MTA. Ząb do obserwacji, najprawdopodobniej będzie wykonana resekcja wierzchołków bliższego korzenia, na poziomie perforacji.


Reendo 46.



Reendo dolnej szóstki.


Wykonany zabieg resekcji wierzcchołka nie pomógł w ustąpieniu obajawów zapalnych. Skuteczne okazało sie dopiero reendo.

