Przypadki kliniczne

Odbudowy pojedynczych zębów przednich na implantach

Odbudowa zębów przedtrzonowych na implantach

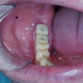
Uzupełnienie zębów trzonowych na implantach

Złożone przypadki rehabilitacji protetycznej z użyciem implantów

Implanty jako zakotwiczenie protezy częściowej i całkowitej

  • Odbudowy pojedynczych zębów przednich na implantach

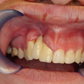
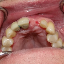
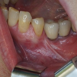
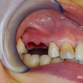
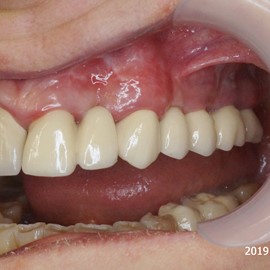
    Odbudowa dziąsła rogowaciejącego Odbudowa dziąsła rogowaciejącego Odbudowa dziąsła rogowaciejącego Odbudowa dziąsła rogowaciejącego

    Pacjent w trakcie leczenia ortodontycznego. Niestety zaszła potrzeba usunięcia górnych dwójek. Odbudowa kości i dziąsła rogowaciejącego w skrajnie trudnych warunkach.

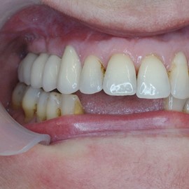
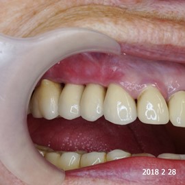
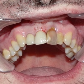
    uzupełnienia zębów przednich Radom uzupełnienia zębów przednich Radom uzupełnienia zębów przednich Radom uzupełnienia zębów przednich Radom

    Po odbudowie kości, tkanek miękkich osadzono na implancie koronę całoceramiczną. Osiągnięto pełną harmonię, odbudowano wszystko brakujące tkanki, bez różowej porcelany, czy nieestetycznych kompromisów.

    uzupełnienia zębów przednich Radom uzupełnienia zębów przednich Radom uzupełnienia zębów przednich Radom uzupełnienia zębów przednich Radom

    .

    korony całoceramiczne Radom korony całoceramiczne Radom korony całoceramiczne Radom korony całoceramiczne Radom

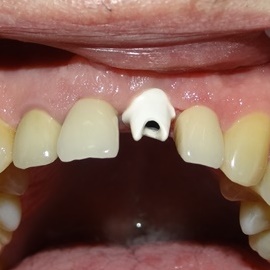
    Po utracie lewych górnych siekaczy, odbudowano brakujące tkanki. Odbudowa protetyczna zębów koronami całoceramicznymi.

    Przeszczep kości własnej pacjenta Przeszczep kości własnej pacjenta Przeszczep kości własnej pacjenta Przeszczep kości własnej pacjenta

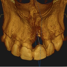
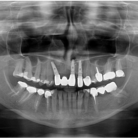
    Ortodonta próbował ściągnąć z podniebienia zatrzymanego lewego kła. Nie udało się, po chirurgicznej ekstrakcji kła pozostał duży ubytek tkanki kostnej, więc był wykonany zabieg odbudowy kości. Także nieudany. Pacjentka trafiła do naszego gabinetu z dużym ubytkiem kości od strony podniebienia. Dodatkowo wyrostek zębodołowy w pozycji kła wypełniony był masami zbitej tkanki łącznej wymieszanej z materiałem wszczepowym użytym do zabiegu. W naszym gabinecie wykonano przeszczep kości własnej pacjenta, po 6 miesiącach implantacja, a następnie odbudowa koroną całoceramiczną.

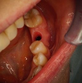
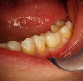
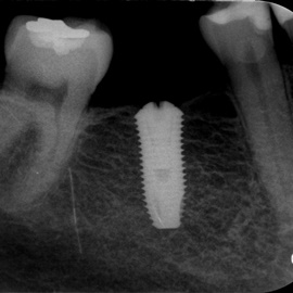
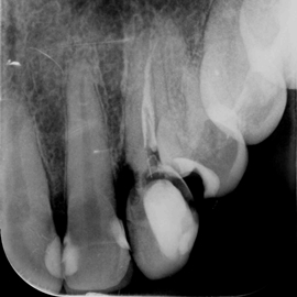
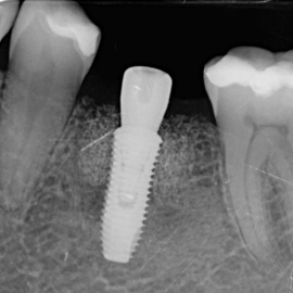
    Odbudowa zęba na implancie Odbudowa zęba na implancie Odbudowa zęba na implancie Odbudowa zęba na implancie

    Radiologicznie rozpoznano resorpcję zewnętrzną korzenia lewej górnej trójki. W leczeniu ortodontycznym uzyskano odbudowę kości, przeprowadzono odbudowę zęba na implancie. Zadowalający widok estetyczny.

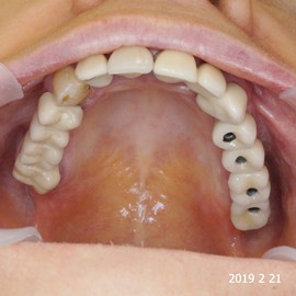
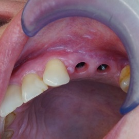
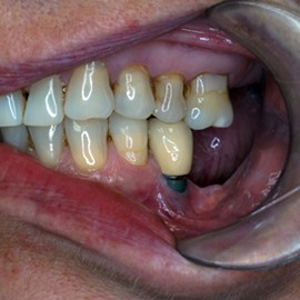
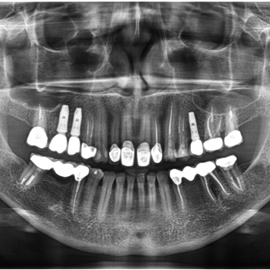
    implanty stomatologiczne Radom implanty stomatologiczne Radom implanty stomatologiczne Radom implanty stomatologiczne Radom

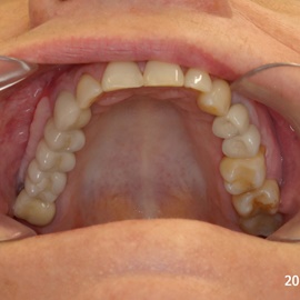
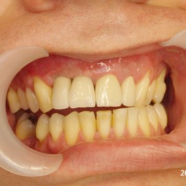
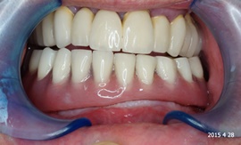
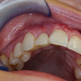
    Po utracie zęba w przednim odcinku łuku zębowego należy zwrócić wzmożoną uwagę na aspekt estetyczny. Naczelnym przesłaniem odbudowy brakujących tkanek (anatomiczno-funkcjonalny kompleks tkanek: kość wyrostka zębodołowego + dziąsło + zęby) jest uzyskanie takiego wyniku, który jest najbliżej ideału, czyli takiej sytuacji jak gdyby nic się nie stało i w ogóle nie doszło do utraty zęba i tkanek około zębowych. Kluczem do sukcesu jest odtworzenie poprawnych stosunków anatomicznych: kość - dziąsło - ząb.

    Korona protetyczna na implancie Korona protetyczna na implancie Korona protetyczna na implancie Korona protetyczna na implancie

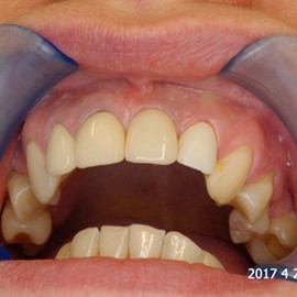
    Korona protetyczna na implancie, funkcjonująca od roku 2003. Zdarzył się wypadek motocyklowy. Widzimy klucz do osiągnięcia sukcesu: mikrochirurgia i poprawna anatomiczna odbudowa tkanek. Tego nie zastąpi nawet najdroższy implant!

    odbudowa kształti dziąsła odbudowa kości odbudowa tkanek efekt końcowy

    Pokazano etapową odbudowę brakujących tkanek, wraz z odbudową objętości i kształtu dziąsła.

    implanty stomatologiczne Radom implanty stomatologiczne Radom implanty stomatologiczne Radom implanty stomatologiczne Radom

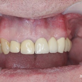
    Odbudowa tkanek i zębów przy wysokiej linii uśmiechu. Zadowalający wynik estetyczny.

    implanty stomatologiczne Radom implanty stomatologiczne Radom implanty stomatologiczne Radom implanty stomatologiczne Radom

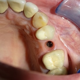
    Odbudowa brakującej kości, odbudowa anatomicznych stosunków dziąsła i korona całoceramiczna osadzona na łączniku cyrkonowym.

  • Odbudowa zębów przedtrzonowych na implantach

    most osadzony na implantach most osadzony na implantach most osadzony na implantach most osadzony na implantach

    Pozioma odbudowa kości, odbudowa dziąsła, most osadzony na implantach.

    podniesienie dna zatoki podniesienie dna zatoki podniesienie dna zatoki podniesienie dna zatoki

    Podniesienie dna zatoki, augmentacja boczna i odbudowa dziąsła rogowaciejącego.

    odbudowa brakujacych tkanek Radom odbudowa brakujacych tkanek Radom odbudowa brakujacych tkanek Radom odbudowa brakujacych tkanek Radom

    Odbudowa brakujacych tkanek i nadbudowa protetyczna.

    augmentacja kości Radom augmentacja kości Radom augmentacja kości Radom augmentacja kości Radom

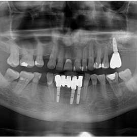
    Pacjentka utraciła zęba 44. Po augmentacji kości, osadzono implant 44 i wykonano most oparty na dwóch implantach.

    zapadnięty wyrostek zębodołowy zapadnięty wyrostek zębodołowy zapadnięty wyrostek zębodołowy zapadnięty wyrostek zębodołowy

    Pionowo i poziomo zapadnięty wyrostek zębodołowy. Po odbudowie brakujących tkanek zadowalający wynik estetyczny.

    Korony porcelanowe na metalu Korony porcelanowe na metalu Korony porcelanowe na metalu Korony porcelanowe na metalu

    Po ekstrakcji zębów 14 i 15, odbudowa brakujących tkanek kości i dziąsła. Korony porcelanowe, na metalu.

    most jednobrzeżny most jednobrzeżny most jednobrzeżny most jednobrzeżny

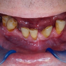
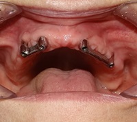
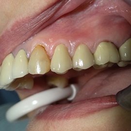
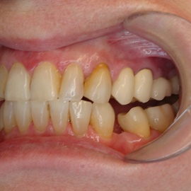
    Przedtrzonowce często należą do okolicy estetycznej należy więc zwrócić wzmożona uwagę na poprawną anatomię tkanek kości i dziąsła. Po utracie zęba 25 pacjentka kilka lat chodziła bez jego uzupełnienia, doszło do przesunięcia się zęba 26. U tej pacjentki przed laty był wykonany most jednobrzeżny na czwórce, dość szybko doszło jednak do przeciążenia zęba filarowego, zaniku kości wyrostka i wreszcie pęknięcia korzenia zęba filarowego mostu. Po ekstrakcji i wygojeniu kości stwierdzono ubytek kości wyrostka przekraczający objętość 50% stanu początkowego. Stąd główny nacisk położono na odbudowę tkanek. Uzyskano zadowalający wynik anatomiczny.

    Odbudowa kości pionowa i pozioma Odbudowa kości pionowa i pozioma Odbudowa kości pionowa i pozioma Odbudowa kości pionowa i pozioma

    Przypadek odbudowy zębów trzonowych z początkowymi znacznymi zanikami kości. Odbudowa kości pionowa i pozioma, następnie implantacja i faza protetyczna.

    implantologia Radom implantologia Radom implantologia Radom implantologia Radom

    Podstawą do uzyskania korzystnych wyników leczenia są diagnostyka, określenie planu leczenia i staranne wykonanie wszystkich etapów leczenia. Tutaj przykład pacjentki, u której nie dopilnowano poprawnych stosunków pionowych, przy implantacji. Konieczne było leczenie korekcyjne.

    implantologia Radom implantologia Radom implantologia Radom implantologia Radom

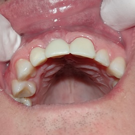
    Pacjentka lat 41, odbudowa protetyczna zębów 24, 25 na implantach - korony porcelanowe na metalu. Po stronie prawej zdjęto most 13 - 16, poprawiono warunki kostne wyrostka zębodołowego i wykonano most na implantach od czwórki do szóstki, oraz nacementowano pojedynczą koronę na kła.

    implantologia Radom implantologia Radom implantologia Radom implantologia Radom

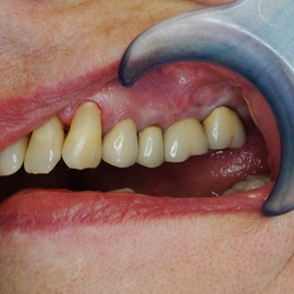
    Pacjentka lat 50. Most od zęba 24 do zęba 27. Pękł korzeń zęba filarowego 24. Po ekstrakcji wykonano zabieg odbudowy kości wyrostka zębodołowego i podniesiono zatokę. Następnie po skorygowaniu kształtu i objętości dziąsła przytwierdzonego wykonano pojedyńcze korony na implantach 24, 26, oraz most 13-17.

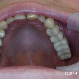
  • Uzupełnienie zębów trzonowych na implantach

    Chodzi tutaj nie tylko o przywrócenie funkcji narządu żucia, ale również zapewnienie trwałości takiego rozwiązania. Ponieważ jednak trwałość zależy w dużej mierze od odtworzenia poprawnych stosunków anatomicznych i histologicznych okazuje sie, że również w odcinkach bocznych uzębienia rehabilitacja funkcjonalna idzie w parze z estetyką.

    nadbudowę protetyczną koronami nadbudowę protetyczną koronami nadbudowę protetyczną koronami nadbudowę protetyczną koronami

    Po odbudowie szerokości kości wyrostka zębodołowego i tkanek miękkich wykonano nadbudowę protetyczną koronami przykręcanymi do implantów.

    augumentacja kości augumentacja kości augumentacja kości augumentacja kości

    Augmentacja poziomych zaników kości daje dobre wyniki. Odbudowano na szerokość tkanki kości i dziąsła.

    odbudowa dziąsła odbudowa dziąsła odbudowa dziąsła odbudowa dziąsła

    Czasami zdarza się, że po kilku latach trzeba odbudować zanikające tkanki wokół implantów. Tutaj po dziesięciu latach zaszła potrzeba odbudowy dziąsła rogowaciejącego.

    augmentacja kości augmentacja kości augmentacja kości augmentacja kości

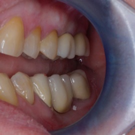
    Dwudziestoletni staż palenia, od 5 lat niepaląca. Obustronna augmentacja kości - poszerzenie kości wyrostka zębodołowego i podniesienie dna zatoki szczękowej. Plastyka tkanek miękkich. Korony porcelanowe, przykręcane do implantów. Po stronie lewej definitywne zamknięcie koron, po stronie prawej tymczasowe zamknięcie otworów technicznych w powierzchniach żujących.

    odbudowa protetyczna Radom odbudowa protetyczna Radom odbudowa protetyczna Radom odbudowa protetyczna Radom

    Trzy lata po ekstrakcji. Odbudowa brakujących tkanek, implantacja i odbudowa protetyczna.

    odbudowa kości odbudowa dna zatoki szczękowej odbudowa wyrostka zębodołowego odbudowa kości wyrostka

    Pacjentka z zapaleniem przyzębia, po zabiegu sterowanej regeneracji tkanek w roku 2010, w roku 2016 zęby 16,17 usunięto, następnie wykonano odbudowę brakujących tkanek i uzupełnienie protetyczne na implantach. Wykonano także jednoczasową skomplikowaną odbudowę kości w pionie równocześnie podnosząc dowierzchołkowo dno zatoki szczękowej, oraz odbudowując dokoronowo zanikły wyrostek zębodołowy. W czasie tego zabiegu dokonano również odbudowy poziomej kości wyrostka.

    implantologia Radom implantologia Radom implantologia Radom implantologia Radom

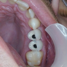
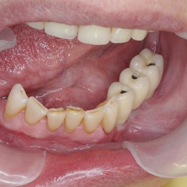
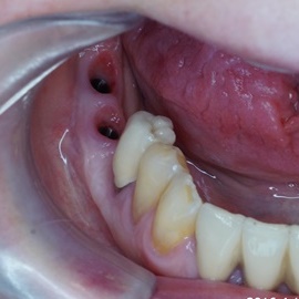
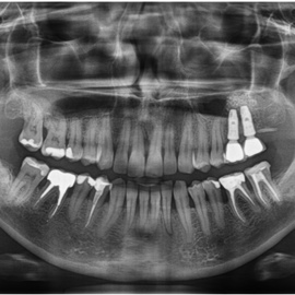
    Odbudowa lewego dolnego trzonowca.

    implantologia Radom implantologia Radom implantologia Radom implantologia Radom

    Odbudowa prawego dolnego trzonowca.

    implantologia Radom implantologia Radom implantologia Radom implantologia Radom

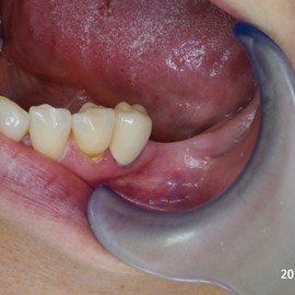
    Uzupełnienie trzonowców: szóstki i siódemki na implantach.

    implantologia Radom implantologia Radom implantologia Radom implantologia Radom

    Odbudowa prawego dolnego trzonowca.

    implantologia Radom implantologia Radom implantologia Radom implantologia Radom

    Odbudowa kości, dziąsła, implantacja, korony protetyczne, dwa prawe dolne trzonowce.

    implantologia Radom implantologia Radom implantologia Radom implantologia Radom

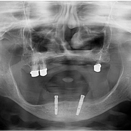
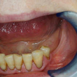
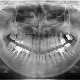
    Obustronne braki skrzydłowe w żuchwie.

    implantologia Radom implantologia Radom implantologia Radom implantologia Radom

    Obustronne braki skrzydłowe w żuchwie.

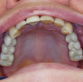
    implantologia Radom implantologia Radom implantologia Radom implantologia Radom

    Obustronne braki skrzydłowe w szczęce.

    implanty zębowe Radom implanty zębowe Radom implanty zębowe Radom implanty zębowe Radom

    Pacjent z brakiem skrzydłowym, po usunięciu zębów filarowych mostu niejako skazany na protezę. Dopiero odbudowa kości stworzyła warunki do implantacji i odbudowy brakujących zębów. Sytuacja przed zamknięciem otworów w powierzchniach żujących

    nowoczesne implanty Radom nowoczesne implanty Radom nowoczesne implanty Radom nowoczesne implanty Radom

    Pacjentka po augmentacji kości i przebudowie zgryzu. Sytuacja początkowa i końcowa.

    nowoczesne implanty Radom nowoczesne implanty Radom nowoczesne implanty Radom nowoczesne implanty Radom

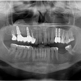
    Odbudowa kości i implantacja zębów 35, 36 miała miejsce w USA. Wykorzystano przeszczep kości ludzkiej zaprojektowany i wyfrezowany metodą CAD-CAM. Rok po zakończeniu leczenia usunięto implant zęba 36, dwa lata później implant zęba 36. W Radomiu odbudowano wyrostek zębodołowy metodą przeszczepu kości własnej pacjenta, osadzono dwa implanty firmy Nobel Biocare, oraz wykonano odbudowę protetyczną. Dodatkowo wyrównano załamaną płaszczyznę zgryzową.

  • Złożone przypadki rehabilitacji protetycznej z użyciem implantów

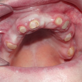
    Często spotykamy sie z przypadkami, które sprawiają problemy już przy samej diagnostyce ubytków kompleksu tkankowego czy próbie określenia planu leczenia. Tutaj potrzebne są rozwiązania indywidualne, często dochodzi do zmian planu leczenia już podczas zabiegu operacyjnego.

    Pionowa pozioma odbudowa kości Pionowa pozioma odbudowa kości Pionowa pozioma odbudowa kości Pionowa pozioma odbudowa kości

    Pionowa odbudowa kości dowierzchołkowo i dokoronowo. Pozioma odbudowa kości. Odbudowa dziąsła. Zadowalająca odbudowa protetyczna.

    Odbudowa dziąsła rogowaciejącego Odbudowa dziąsła rogowaciejącego Odbudowa dziąsła rogowaciejącego Odbudowa dziąsła rogowaciejącego

    Skrajnie niekorzystne warunki do implantacji. Potrzebna była odbudowa kości na wysokość i na szerokość. Odbudowa dziąsła rogowaciejącego. Wynik końcowy jest satysfakcjonujący.

    relief dziąsła relief dziąsła relief dziąsła relief dziąsła

    Pacjentka o cienkim relifie dziąsła. Złe warunki do augmentacji kostnej i augmentacji tkanek miękkich.

    sinus lift sinus lift sinus lift sinus lift

    sinus lift sinus lift sinus lift sinus lift

    Wykonano sinus lift, boczną augmentację, odbudowę tkanek dziąsła rogowaciejącego. Praca protetyczna obejmuje most 21-23 i cztery pojedyncze korony na implantach.

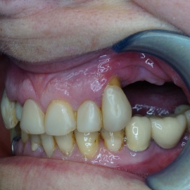
    utrata zębów implanty utrata zębów implanty utrata zębów implanty utrata zębów implanty

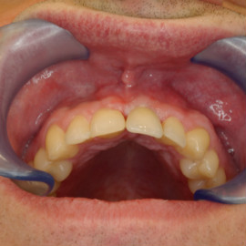
    Pacjent w wieku 29 lat. Po utracie zębów 11, 12, wykonano szkodliwą dla zachowanych tkanek nadbudowę protetyczną Most jednobrzeżny, oparty na 21, 22, dodatkowo podparty łapką na podniebiennej powierzchni prawej górnej trójki. Obrzęki, nieprzyjemny zapach, krwawienie zmusiły pacjenta do szukania pomocy. Widoczne etapy leczenia.

    Odbudowa brakujących tkanek Odbudowa brakujących tkanek Odbudowa brakujących tkanek Odbudowa brakujących tkanek

    U pacjenta z silną wada ortodontyczną wykonano w Kijowie odbudowę protetyczną. Niezadowalający wynik estetyczny zmusił pacjenta do szukania pomocy. Zabiegami chirurgicznymi odbudowano brakujące tkanki kości i dziąsła. Pacjent kontynuował leczenie w Kijowie. Niestety nie zachowano odpowiedniego okresu na dojrzewanie bliznowatych tkanek, doszło do rozerwania blizny. Dodatkowo ponownie wykonano korony nawisające, poddziąsłowe. Efekt końcowy niezadowalający.

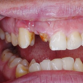
    Odbudowa kości Odbudowa kości Odbudowa kości Odbudowa kości

    Spadł stary, trzypunktowy most i za kilka miesięcy pękł korzeń lewej górnej dwójki. Odbudowa kości, tkanek miękkich, implantacje i sytuacja kliniczna pięć lat po zakończeniu leczenia.

    Odbudowa obu łuków zębowych Odbudowa obu łuków zębowych Odbudowa obu łuków zębowych Odbudowa obu łuków zębowych

    Pacjent do odbudowy obu łuków zębowych. Rekonstrukcja kości wyrostka szczęki strona prawa, rehabilitacja protetyczna dwuszczękowa.

    implantologia Radom implantologia Radom implantologia Radom implantologia Radom

    Lat 50, pół roku przed rozpoczęciem leczenia implantologicznego przestał palić papierosy. Znacząca poprawa higieny, pacjent silnie zmotywowany. Po regeneracji kości i rekonstrukcji tkanek miękkich odbudowa sześciu zębów na koronach porcelanowych. Na zdjęciu widoczna ilość i jakość tkanki kostnej po rekonstrukcji. W porównaniu ze stanem początkowym uzyskano znaczącą poprawę warunków kostnych nie do osiągnięcia metodami sterowanej regeneracji kości z użyciem reklamowanych markowych błon kolagenowych i dosypaniem kości z butelki.

    implantologia Radom implantologia Radom implantologia Radom implantologia Radom

    Brakujących pięć zębów dolnych w odcinku wargowym. Rekonstrukcja tkanek i rehabilitacja protetyczna.

    implantologia Radom implantologia Radom implantologia Radom implantologia Radom

    Skrócony łuk zębowy, kończący się na trójce. Blade atroficzne tkanki miękkie, relif dziąsła typu A, kość o małej gęstości, słabo ubeleczkowana i o kiepskim ukrwieniu. Niekorzystne warunki do odbudowy kości. Okres leczenia 1,5 roku, po odbudowie kości, zadowalający wynik końcowy w żuchwie, czas na korektę płaszczyzny zgryzowej.

    implantologia Radom implantologia Radom implantologia Radom implantologia Radom

    Implantacja natychmiastowa. Zęby paradontyczne. Usuniete zgodnie z popularną obecnie na zachodzie techniką: usuń zęby zanim zaniknie kość. Wynikiem takiego postępowania jest mniejsza trauma dla pacjenta i krótszy okres trwania rehabilitacji protetycznej, niższe całkowite koszty leczenia. Ale jednocześnie więcej implantów i mniej własnych zębów. W długotrwałym okresie obserwacji takie podejście daje dobre wyniki.

    implantologia Radom implantologia Radom implantologia Radom implantologia Radom

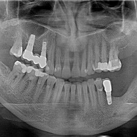
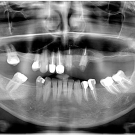
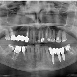
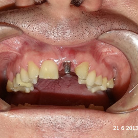
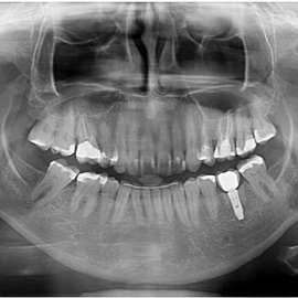
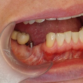
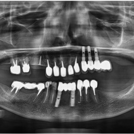
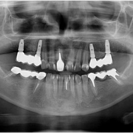
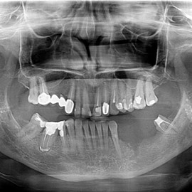
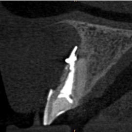
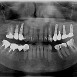
    Pacjent z długą historią leczenia implantologicznego. Pierwsze implanty w pozycjach 23, 24 miał wkręcane w Warszawie przed 25 laty. Implant w pozycji górnego prawego kła ma agresywny gwint, ponieważ bezpośrednio po implantacji był obciążony (immediate loading) tymczasowym atachmentem ball abutmentv do stabilizacji tymczasowej protezy ruchomej. Kość szczęki regenerowana i odbudowywana etapami w całym górnym prawym kwadrancie. Pacjent planuje uzupełnić brakujące zęby 25, 26.

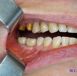
    implanty stomatologiczne implanty stomatologiczne implanty stomatologiczne implanty stomatologiczne

    Odbudowa - lewy górny kwadrant 23,24,25. Po operacji lewej zatoki szczękowej metodą caldwell-Lucka początkowo oceniona jako niekwalifikująca się do leczenia implantologicznego. Później warunkowo zakwalifikowana do odbudowy kości i tkanek miękkich.

    implanty stomatologiczne implanty stomatologiczne implanty stomatologiczne implanty stomatologiczne

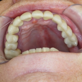
    Bezzębie całkowite górne. Początkowo wykonane na mieście mosty całoceramiczne wydawały sie sukcesem, ale po roku pojawiły sie obrzęki i krwawienie z dziąseł. Pacjentka zgłosiła się do leczenia. Usunięto wszystkie zęby w szczęce. Sterowana regeneracja tkanek kości wyrostka, modelowanie kształtu i objętości tkanek miękkich, mosty porcelanowe przykręcane do implantów. Zadowalający wynik anatomiczny i estetyczny.

    implanty stomatologiczne implanty stomatologiczne implanty stomatologiczne implanty stomatologiczne

    Lat 38, Pacjent paradontyczny, obciążony genetycznie, niepalący, dobra higiena. Pionowa i pozioma regeneracja kości.

    implanty stomatologiczne implanty stomatologiczne implanty stomatologiczne implanty stomatologiczne

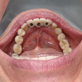
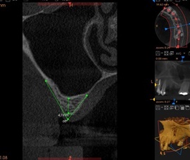
    Pacjentka lat 72, od kilkudziesięciu lat chorująca na cukrzyce I typu, obecnie od 10 lat na pompie insulinowej. Profesor medycyny, siostrzenica pacjentki prowadzi swoją ciocię diabetologicznie, pacjentka świadoma zagrożeń przy zabiegach regeneracji kości i implantacji w takim ogólnym stanie zdrowia. Po rekonstrukcji tkanek miękkich i kości osadzono dwa implanty o średnicy 5,0 mm. Na zdjęciu śródzabiegowym widać zadowalające wyniki rekonstrukcji tkanki kostnej. Po upływie kilku miesięcy wykonano nadbudowę protetyczną.

    implanty stomatologiczne implanty stomatologiczne implanty stomatologiczne implanty stomatologiczne

    Pacjentka lat 55, od wielu lat użytkowała protezę ruchomą. Przed implantacją dokonano augmentacji kości wyrostka. Sytuacja po zakończeniou leczenia, estetyczna i funkcjonalna, zadowalająca pacjentkę.

    implanty stomatologiczne implanty stomatologiczne implanty stomatologiczne implanty stomatologiczne

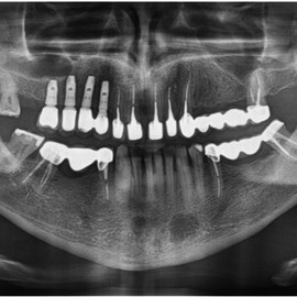
    Pacjentka po ekstrakcji kilku zębów, z implantacją natychmiastową, odroczoną. Zdjęcie pantomograficzne wykonano pięć lat po implantacji. Widoczna stabilna sytuacja kostna i dziąsłowa.

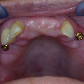
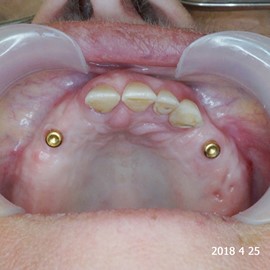
  • Implanty jako zakotwiczenie protezy częściowej i całkowitej

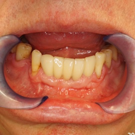
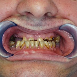
    Nie u każdego pacjenta można wykonać stałe odbudowy protetyczne oparte na implantach. Powody najczęściej sa prozaiczne, takie jak koszty, niekorzystne początkowe warunki kostne i wymagane rozległe odbudowy kości, strach przed bólem a także - jakże często - zdrowy rozsądek. Wiadomo bowiem, że w przypadku rozległych, trudnych technicznie do wykonania regeneracji kostnych zwiększa się obciążenie organizmu, oraz możliwości wystąpienia powikłań, a więc zwiększa się ryzyko niepowodzenia w leczeniu. Dlatego wykorzystujemy implanty jako zakotwiczenie atachmentów do utrzymania protezy ruchomej. Takie rozwiązanie pozwala na zmniejszenie kosztów, ograniczenie zakresu zabiegu, oraz co najważniejsze pozwala na poprawę jakości życia i zadowolenia z użytkowania protez ruchomych.

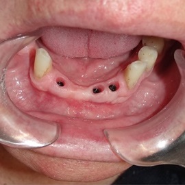
    odbudowa implanty odbudowa implanty odbudowa implanty odbudowa implanty

    Zaniki kostnych wyrostków zębodołowych i dziąsła rogowaciejącego. Dobra stabilizacja protezy na lokatorach.

    proteza szkieletowa proteza szkieletowa proteza szkieletowa proteza szkieletowa

    Pacjentka z trzydziestoletnim stażem palacza (20 sztuk na dobę), obecnie przyjmująca leki antydepresyjne. Braki skrzydłowe, augmentacja kości i tkanek miękkich, proteza szkieletowa na lokatorach.

    odbudowa kości w szczęce odbudowa kości w szczęce odbudowa kości w szczęce odbudowa kości w szczęce

    Pacjentka 70 letnia, obustronna odbudowa kości w szczęce, implantacja i praca protetyczna na lokatorach. Pacjentka jest bardzo zadowolona ze zmniejszenia płyty podniebiennej. Dodatkowo pozytywnie ocenia większą stabilność protezy, brak klamer i możliwość rezygnacji z klejów do protez.

    proteza nakładkowa proteza nakładkowa proteza nakładkowa proteza nakładkowa

    Pacjent użytkował protezę szkieletową mocowaną na zatrzaski. Po utracie zębów filarowych podjęto decyzję o osadzeniu implantów i wykonaniu protezy nakładkowej. Jako system mocowania protezy ruchomej wybrano keratory. Docelowo, po osadzeniu dalszych implantów będzie wykonane stałe uzupełnienie protetyczne osadzone na implantach.

    implanty stomatologiczne implanty stomatologiczne implanty stomatologiczne implanty stomatologiczne

    Pacjentka głosiła sie do naszego gabinetu do leczenia z osadzonym mikroimplantem w pozycji lewej dolnej dwójki. Siostrzany implant w pozycji prawej dolnej dwójki wypadł wcześniej, około 1,5 roku od implantacji. Odtworzono przedsionek i dziąsło rogowaciejące, osadzono dwa implanty, jednoczasowo z regeneracją kości. Dopiero na etapie ostatecznej rekonstrukcji protetycznej usunięto zachowany mikroimplant. To się nazywa motywacja do leczenia! Pacjentka przygotowywała sie na ślub prawnuczki :)

    implanty stomatologiczne implanty stomatologiczne implanty stomatologiczne implanty stomatologiczne

    Pacjentka lat 58, prowadzi aktywne życie zawodowe. Odczuwała dyskomfort przy użytkowaniu protezy, dodatkowo przy uśmiechu odsłaniała klamry utrzymujące protezę.

    implanty stomatologiczne implanty stomatologiczne implanty stomatologiczne implanty stomatologiczne

    Pacjentka lat 68, prowadzi aktywny tryb życia, dużo podróżuje, przeszkadzały jej klamry widoczne na zębach przy uśmiechu, oraz słaba stabilność protezy, co powodowało dyskomfort przy użytkowaniu.

    implanty stomatologiczne implanty stomatologiczne implanty stomatologiczne implanty stomatologiczne

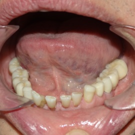
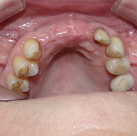
    Pacjentka lat 72, dwa lata nosiła stałe aparaty ortodontyczne, wykonano uzupełnienia protezami elastycznymi. Były zaniedbania paradontologiczne. Trafiła do nas trzy miesiące po zakończeniu leczenia. Zaczęliśmy od ekstrakcji zęba 23, następnie wykonaliśmy rekonstrukcję kości i dziąsła, implantację, podwyższenie wysokości zwarcia, wyrównanie płaszczyzny zgryzowej, nowe korony, oraz protezy szkieletowe górną opartą na lokatorach na implantach i dolną z klamrami trzyramiennymi.

    implanty stomatologiczne implanty stomatologiczne implanty stomatologiczne implanty stomatologiczne

    Hybrydowe podparcie protezy ruchomej na jednym implancie i jednym własnym zębie. Nie zawsze możemy osadzić u pacjenta dwa implanty. Przykłady hybrydowego podparcia protezy ruchomej na atachmentach opartych na własnym zębie i implancie.

    implanty stomatologiczne implanty stomatologiczne implanty stomatologiczne implanty stomatologiczne

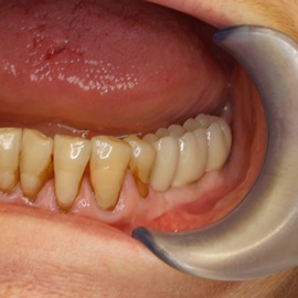
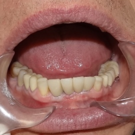
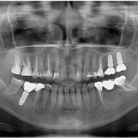
    Pacjent stracił wszystkie zęby w żuchwie. Upłynęło dziesięć lat od czasu osadzenia pięciu implantów i wykonania protezy Branemarka przykręcanej do implantów. Dzięki takiemu rozwiązaniu można zdjąć protezę w gabinecie, odświeżyć, ewentualnie naprawić.

    implanty stomatologiczne implanty stomatologiczne implanty stomatologiczne implanty stomatologiczne

    Pacjent lat 68, po zawale mięśnia sercowego. Podczas reanimacji wyłamano ząb 43, będący zębem klamrowym szkieletu. Doszło do znaczącego ubytku tkanki kostnej. Osadzono implant, odbudowano brakujące tkanki kości i dziąsła. Pacjent zadowolony z hybrydowego zakotwiczenia protezy.

  • implanty
  • implanty
  • implanty
  • implanty
  • implanty
  • implanty
  • implanty
  • implanty
  • implanty
  • implanty
  • implanty
  • implanty
  • implanty
  • implanty