Przypadki kliniczne

Odbudowy pojedynczych zębów przednich na implantach

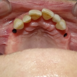
Odbudowa zębów przedtrzonowych na implantach

Uzupełnienie zębów trzonowych na implantach

Złożone przypadki rehabilitacji protetycznej z użyciem implantów

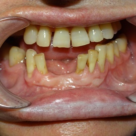
Implanty jako zakotwiczenie protezy częściowej i całkowitej

  • Odbudowy pojedynczych zębów przednich na implantach

    implanty stomatologiczne Radom implanty stomatologiczne Radom implanty stomatologiczne Radom implanty stomatologiczne Radom

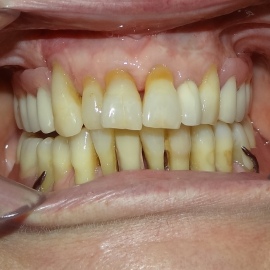
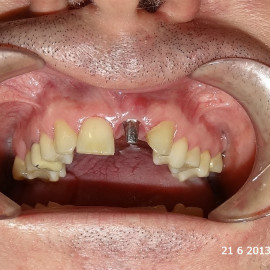
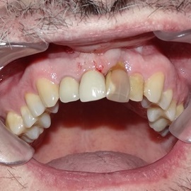
    Po utracie zęba w przednim odcinku łuku zębowego należy zwrócić wzmożoną uwagę na aspekt estetyczny. Naczelnym przesłaniem odbudowy brakujących tkanek (anatomiczno-funkcjonalny kompleks tkanek: kość wyrostka zębodołowego + dziąsło + zęby) jest uzyskanie takiego wyniku, który jest najbliżej ideału, czyli takiej sytuacji jak gdyby nic się nie stało i w ogóle nie doszło do utraty zęba i tkanek około zębowych. Kluczem do sukcesu jest odtworzenie poprawnych stosunków anatomicznych: kość - dziąsło - ząb.

    implanty stomatologiczne Radom implanty stomatologiczne Radom implanty stomatologiczne Radom implanty stomatologiczne Radom

    Korona protetyczna na implancie, funkcjonująca od roku 2003. Zdarzył się wypadek motocyklowy. Widzimy klucz do osiągnięcia sukcesu: mikrochirurgia i poprawna anatomiczna odbudowa tkanek. Tego nie zastąpi nawet najdroższy implant!

    implanty stomatologiczne Radom implanty stomatologiczne Radom implanty stomatologiczne Radom implanty stomatologiczne Radom

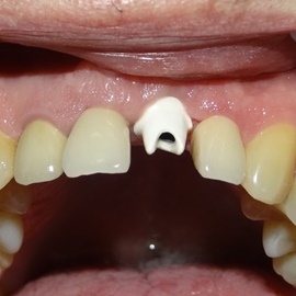
    Pokazano etapową odbudowę brakujących tkanek, wraz z odbudową objętości i kształtu dziąsła.

    implanty stomatologiczne Radom implanty stomatologiczne Radom implanty stomatologiczne Radom implanty stomatologiczne Radom

    Odbudowa tkanek i zębów przy wysokiej linii uśmiechu. Zadowalający wynik estetyczny.

    implanty stomatologiczne Radom implanty stomatologiczne Radom implanty stomatologiczne Radom implanty stomatologiczne Radom

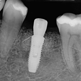
    Odbudowa brakującej kości, odbudowa anatomicznych stosunków dziąsła i korona całoceramiczna osadzona na łączniku cyrkonowym.

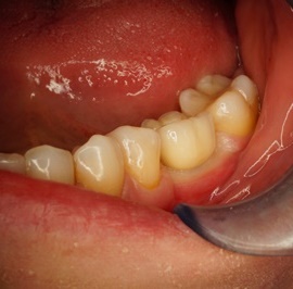
  • Odbudowa zębów przedtrzonowych na implantach

    implantologia Radom implantologia Radom implantologia Radom implantologia Radom

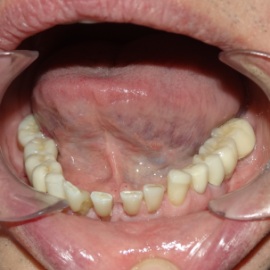
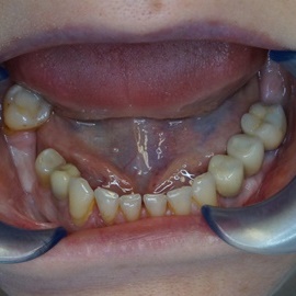
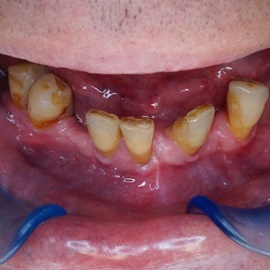
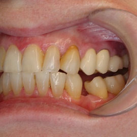
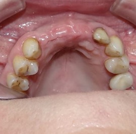
    Przedtrzonowce często należą do okolicy estetycznej należy więc zwrócić wzmożona uwagę na poprawną anatomię tkanek kości i dziąsła. Po utracie zęba 25 pacjentka kilka lat chodziła bez jego uzupełnienia, doszło do przesunięcia się zęba 26. U tej pacjentki przed laty był wykonany most jednobrzeżny na czwórce, dość szybko doszło jednak do przeciążenia zęba filarowego, zaniku kości wyrostka i wreszcie pęknięcia korzenia zęba filarowego mostu. Po ekstrakcji i wygojeniu kości stwierdzono ubytek kości wyrostka przekraczający objętość 50% stanu początkowego. Stąd główny nacisk położono na odbudowę tkanek. Uzyskano zadowalający wynik anatomiczny.

    implantologia Radom implantologia Radom implantologia Radom implantologia Radom

    Przypadek odbudowy zębów trzonowych z początkowymi znacznymi zanikami kości. Odbudowa kości pionowa i pozioma, następnie implantacja i faza protetyczna.

    implantologia Radom implantologia Radom implantologia Radom implantologia Radom

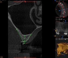
    Podstawą do uzyskania korzystnych wyników leczenia są diagnostyka, określenie planu leczenia i staranne wykonanie wszystkich etapów leczenia. Tutaj przykład pacjentki, u której nie dopilnowano poprawnych stosunków pionowych, przy implantacji. Konieczne było leczenie korekcyjne.

    implantologia Radom implantologia Radom implantologia Radom implantologia Radom

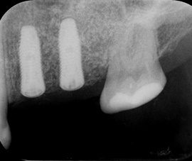
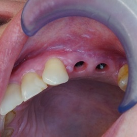
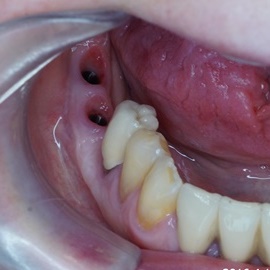
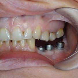
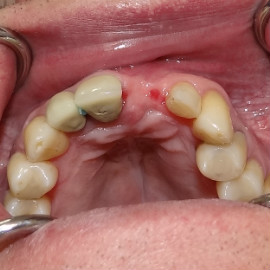
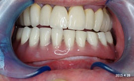
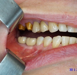
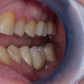
    Pacjentka lat 41, odbudowa protetyczna zębów 24, 25 na implantach - korony porcelanowe na metalu. Po stronie prawej zdjęto most 13 - 16, poprawiono warunki kostne wyrostka zębodołowego i wykonano most na implantach od czwórki do szóstki, oraz nacementowano pojedynczą koronę na kła.

    implantologia Radom implantologia Radom implantologia Radom implantologia Radom

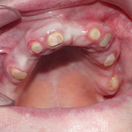
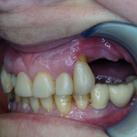
    Pacjentka lat 50. Most od zęba 24 do zęba 27. Pękł korzeń zęba filarowego 24. Po ekstrakcji wykonano zabieg odbudowy kości wyrostka zębodołowego i podniesiono zatokę. Następnie po skorygowaniu kształtu i objętości dziąsła przytwierdzonego wykonano pojedyńcze korony na implantach 24, 26, oraz most 13-17

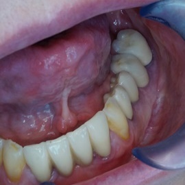
  • Uzupełnienie zębów trzonowych na implantach

    Chodzi tutaj nie tylko o przywrócenie funkcji narządu żucia, ale również zapewnienie trwałości takiego rozwiązania. Ponieważ jednak trwałość zależy w dużej mierze od odtworzenia poprawnych stosunków anatomicznych i histologicznych okazuje sie, że również w odcinkach bocznych uzębienia rehabilitacja funkcjonalna idzie w parze z estetyką.

    implantologia Radom implantologia Radom implantologia Radom implantologia Radom

    Odbudowa lewego dolnego trzonowca.

    implantologia Radom implantologia Radom implantologia Radom implantologia Radom

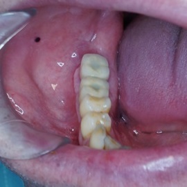
    Odbudowa prawego dolnego trzonowca.

    implantologia Radom implantologia Radom implantologia Radom implantologia Radom

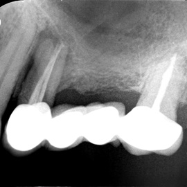
    Uzupełnienie trzonowców: szóstki i siódemki na implantach.

    implantologia Radom implantologia Radom implantologia Radom implantologia Radom

    Odbudowa prawego dolnego trzonowca.

    implantologia Radom implantologia Radom implantologia Radom implantologia Radom

    Odbudowa kości, dziąsła, implantacja, korony protetyczne, dwa prawe dolne trzonowce.

    implantologia Radom implantologia Radom implantologia Radom implantologia Radom

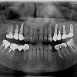
    Obustronne braki skrzydłowe w żuchwie.

    implantologia Radom implantologia Radom implantologia Radom implantologia Radom

    Obustronne braki skrzydłowe w żuchwie.

    implantologia Radom implantologia Radom implantologia Radom implantologia Radom

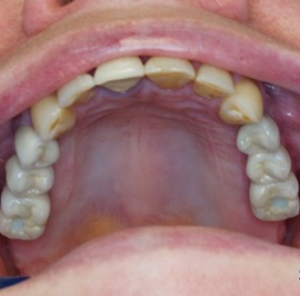
    Obustronne braki skrzydłowe w szczęce.

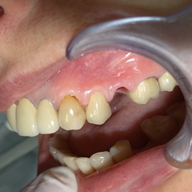
  • Złożone przypadki rehabilitacji protetycznej z użyciem implantów

    Często spotykamy sie z przypadkami, które sprawiają problemy już przy samej diagnostyce ubytków kompleksu tkankowego czy próbie określenia planu leczenia. Tutaj potrzebne są rozwiązania indywidualne, często dochodzi do zmian planu leczenia już podczas zabiegu operacyjnego.

    implantologia Radom implantologia Radom implantologia Radom implantologia Radom

    Lat 50, pół roku przed rozpoczęciem leczenia implantologicznego przestał palić papierosy. Znacząca poprawa higieny, pacjent silnie zmotywowany. Po regeneracji kości i rekonstrukcji tkanek miękkich odbudowa sześciu zębów na koronach porcelanowych. Na zdjęciu widoczna ilość i jakość tkanki kostnej po rekonstrukcji. W porównaniu ze stanem początkowym uzyskano znaczącą poprawę warunków kostnych nie do osiągnięcia metodami sterowanej regeneracji kości z użyciem reklamowanych markowych błon kolagenowych i dosypaniem kości z butelki.

    implantologia Radom implantologia Radom implantologia Radom implantologia Radom

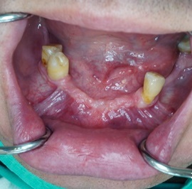
    Brakujących pięć zębów dolnych w odcinku wargowym. Rekonstrukcja tkanek i rehabilitacja protetyczna.

    implantologia Radom implantologia Radom implantologia Radom implantologia Radom

    Skrócony łuk zębowy, kończący się na trójce. Blade atroficzne tkanki miękkie, relif dziąsła typu A, kość o małej gęstości, słabo ubeleczkowana i o kiepskim ukrwieniu. Niekorzystne warunki do odbudowy kości. Okres leczenia 1,5 roku, po odbudowie kości, zadowalający wynik końcowy w żuchwie, czas na korektę płaszczyzny zgryzowej.

    implantologia Radom implantologia Radom implantologia Radom implantologia Radom

    Implantacja natychmiastowa. Zęby paradontyczne. Usuniete zgodnie z popularną obecnie na zachodzie techniką: usuń zęby zanim zaniknie kość. Wynikiem takiego postępowania jest mniejsza trauma dla pacjenta i krótszy okres trwania rehabilitacji protetycznej, niższe całkowite koszty leczenia. Ale jednocześnie więcej implantów i mniej własnych zębów. W długotrwałym okresie obserwacji takie podejście daje dobre wyniki.

    implantologia Radom implantologia Radom implantologia Radom implantologia Radom

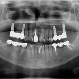
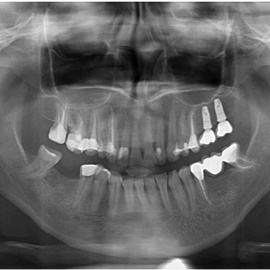
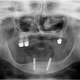
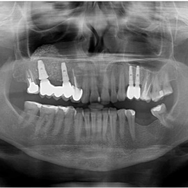
    Pacjent z długą historią leczenia implantologicznego. Pierwsze implanty w pozycjach 23, 24 miał wkręcane w Warszawie przed 25 laty. Implant w pozycji górnego prawego kła ma agresywny gwint, ponieważ bezpośrednio po implantacji był obciążony (immediate loading) tymczasowym atachmentem ball abutmentv do stabilizacji tymczasowej protezy ruchomej. Kość szczęki regenerowana i odbudowywana etapami w całym górnym prawym kwadrancie. Pacjent planuje uzupełnić brakujące zęby 25, 26.

    implanty stomatologiczne implanty stomatologiczne implanty stomatologiczne implanty stomatologiczne

    Odbudowa - lewy górny kwadrant 23,24,25. Po operacji lewej zatoki szczękowej metodą caldwell-Lucka początkowo oceniona jako niekwalifikująca się do leczenia implantologicznego. Później warunkowo zakwalifikowana do odbudowy kości i tkanek miękkich.

    implanty stomatologiczne implanty stomatologiczne implanty stomatologiczne implanty stomatologiczne

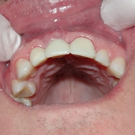
    Bezzębie całkowite górne. Początkowo wykonane na mieście mosty całoceramiczne wydawały sie sukcesem, ale po roku pojawiły sie obrzęki i krwawienie z dziąseł. Pacjentka zgłosiła się do leczenia. Usunięto wszystkie zęby w szczęce. Sterowana regeneracja tkanek kości wyrostka, modelowanie kształtu i objętości tkanek miękkich, mosty porcelanowe przykręcane do implantów. Zadowalający wynik anatomiczny i estetyczny.

    implanty stomatologiczne implanty stomatologiczne implanty stomatologiczne implanty stomatologiczne

    Lat 38, Pacjent paradontyczny, obciążony genetycznie, niepalący, dobra higiena. Pionowa i pozioma regeneracja kości.

    implanty stomatologiczne implanty stomatologiczne implanty stomatologiczne implanty stomatologiczne

    Pacjentka lat 72, od kilkudziesięciu lat chorująca na cukrzyce I typu, obecnie od 10 lat na pompie insulinowej. Profesor medycyny, siostrzenica pacjentki prowadzi swoją ciocię diabetologicznie, pacjentka świadoma zagrożeń przy zabiegach regeneracji kości i implantacji w takim ogólnym stanie zdrowia. Po rekonstrukcji tkanek miękkich i kości osadzono dwa implanty o średnicy 5,0 mm. Na zdjęciu śródzabiegowym widać zadowalające wyniki rekonstrukcji tkanki kostnej. Po upływie kilku miesięcy wykonano nadbudowę protetyczną.

    implanty stomatologiczne implanty stomatologiczne implanty stomatologiczne implanty stomatologiczne

    Pacjentka lat 55, od wielu lat użytkowała protezę ruchomą. Przed implantacją dokonano augmentacji kości wyrostka. Sytuacja po zakończeniou leczenia, estetyczna i funkcjonalna, zadowalająca pacjentkę.

    implanty stomatologiczne implanty stomatologiczne implanty stomatologiczne implanty stomatologiczne

    Pacjentka po ekstrakcji kilku zębów, z implantacją natychmiastową, odroczoną. Zdjęcie pantomograficzne wykonano pięć lat po implantacji. Widoczna stabilna sytuacja kostna i dziąsłowa.

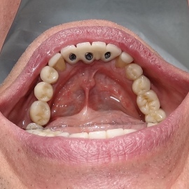
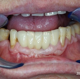
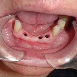
  • Implanty jako zakotwiczenie protezy częściowej i całkowitej

    Nie u każdego pacjenta można wykonać stałe odbudowy protetyczne oparte na implantach. Powody najczęściej sa prozaiczne, takie jak koszty, niekorzystne początkowe warunki kostne i wymagane rozległe odbudowy kości, strach przed bólem a także - jakże często - zdrowy rozsądek. Wiadomo bowiem, że w przypadku rozległych, trudnych technicznie do wykonania regeneracji kostnych zwiększa się obciążenie organizmu, oraz możliwości wystąpienia powikłań, a więc zwiększa się ryzyko niepowodzenia w leczeniu. Dlatego wykorzystujemy implanty jako zakotwiczenie atachmentów do utrzymania protezy ruchomej. Takie rozwiązanie pozwala na zmniejszenie kosztów, ograniczenie zakresu zabiegu, oraz co najważniejsze pozwala na poprawę jakości życia i zadowolenia z użytkowania protez ruchomych.

    implanty stomatologiczne implanty stomatologiczne implanty stomatologiczne implanty stomatologiczne

    Pacjentka głosiła sie do naszego gabinetu do leczenia z osadzonym mikroimplantem w pozycji lewej dolnej dwójki. Siostrzany implant w pozycji prawej dolnej dwójki wypadł wcześniej, około 1,5 roku od implantacji. Odtworzono przedsionek i dziąsło rogowaciejące, osadzono dwa implanty, jednoczasowo z regeneracją kości. Dopiero na etapie ostatecznej rekonstrukcji protetycznej usunięto zachowany mikroimplant. To się nazywa motywacja do leczenia! Pacjentka przygotowywała sie na ślub prawnuczki :)

    implanty stomatologiczne implanty stomatologiczne implanty stomatologiczne implanty stomatologiczne

    Pacjentka lat 58, prowadzi aktywne życie zawodowe. Odczuwała dyskomfort przy użytkowaniu protezy, dodatkowo przy uśmiechu odsłaniała klamry utrzymujące protezę.

    implanty stomatologiczne implanty stomatologiczne implanty stomatologiczne implanty stomatologiczne

    Pacjentka lat 68, prowadzi aktywny tryb życia, dużo podróżuje, przeszkadzały jej klamry widoczne na zębach przy uśmiechu, oraz słaba stabilność protezy, co powodowało dyskomfort przy użytkowaniu.

    implanty stomatologiczne implanty stomatologiczne implanty stomatologiczne implanty stomatologiczne

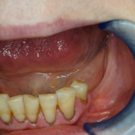
    Pacjentka prowadzi aktywne życie zawodowe, niedawno zakończyła leczenie ortodontyczne, niestety nie nastąpiło po nim właściwe leczenie protetyczne. Użytkowała protezę ruchomą z klamrami dziąsłowymi.

    implanty stomatologiczne implanty stomatologiczne implanty stomatologiczne implanty stomatologiczne

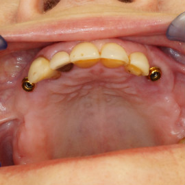
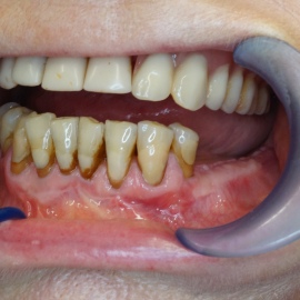
    Hybrydowe podparcie protezy ruchomej na jednym implancie i jednym własnym zębie. Nie zawsze możemy osadzić u pacjenta dwa implanty. Przykłady hybrydowego podparcia protezy ruchomej na atachmentach opartych na własnym zębie i implancie.

    implanty stomatologiczne implanty stomatologiczne implanty stomatologiczne implanty stomatologiczne

    Pacjent stracił wszystkie zęby w żuchwie. Upłynęło dziesięć lat od czasu osadzenia pięciu implantów i wykonania protezy Branemarka przykręcanej do implantów. Dzięki takiemu rozwiązaniu można zdjąć protezę w gabinecie, odświeżyć, ewentualnie naprawić.

    implanty stomatologiczne implanty stomatologiczne implanty stomatologiczne implanty stomatologiczne

    Pacjent lat 68, po zawale mięśnia sercowego. Podczas reanimacji wyłamano ząb 43, będący zębem klamrowym szkieletu. Doszło do znaczącego ubytku tkanki kostnej. Osadzono implant, odbudowano brakujące tkanki kości i dziąsła. Pacjent zadowolony z hybrydowego zakotwiczenia protezy.

  • implanty
  • implanty
  • implanty
  • implanty
  • implanty
  • implanty
  • implanty
  • implanty
  • implanty
  • implanty
  • implanty
  • implanty
  • implanty